优先发表
优先发表栏目展示本刊经同行评议确定正式录用的文章,这些文章目前处在编校过程,尚未确定卷期及页码,但可以根据DOI进行引用。
显示方式:
, 最新更新时间 , doi: 10.12206/j.issn.2097-2024.202504024
摘要:
通过查阅历代本草古籍和炮制规范等相关文献资料,对青果的品名、产地、炮制、药理作用转变等方面进行系统考证和梳理,以期为青果的药用质量标准建立提供文献依据。青果作为一种历史悠久、药食同源的植物果实,在历代典籍和《中国药典》中均有收载。青果的主要化学成分有挥发油类、多糖类、酚类、三萜类、黄酮类、香豆素类等,并且广泛具有抗肿瘤、抗病毒、抗菌、抗炎镇痛和抗氧化等药效作用。但目前对青果的研究较少,且研究方法较为单一,集中在青果化学成分及药理作用等方面。因此,进一步探究青果及其炮制品的药效物质基础以阐明其作用机理、完善其质量标准,以及深入研究其药理作用机制对青果资源的利用具有重大意义。
通过查阅历代本草古籍和炮制规范等相关文献资料,对青果的品名、产地、炮制、药理作用转变等方面进行系统考证和梳理,以期为青果的药用质量标准建立提供文献依据。青果作为一种历史悠久、药食同源的植物果实,在历代典籍和《中国药典》中均有收载。青果的主要化学成分有挥发油类、多糖类、酚类、三萜类、黄酮类、香豆素类等,并且广泛具有抗肿瘤、抗病毒、抗菌、抗炎镇痛和抗氧化等药效作用。但目前对青果的研究较少,且研究方法较为单一,集中在青果化学成分及药理作用等方面。因此,进一步探究青果及其炮制品的药效物质基础以阐明其作用机理、完善其质量标准,以及深入研究其药理作用机制对青果资源的利用具有重大意义。
, 最新更新时间 , doi: 10.12206/j.issn.2097-2024.202504126
摘要:
肝癌是人类最常见的原发性癌症之一,是一种多因素诱导、多基因参与、机制复杂的恶性肿瘤。该病具有治疗难度大、预后差等特点,这些临床特征与其独特的肿瘤微环境构成密切相关。肝癌肿瘤微环境是一个由异质性细胞群体、可溶性细胞因子以及重塑的细胞外基质共同组成的动态生态系统。近年来,肝癌肿瘤微环境的研究取得了重要进展,揭示了其在肝癌发生、发展和治疗中的重要作用。本文综述了肝癌肿瘤微环境的关键调控要素,如肝星状细胞活化、免疫细胞功能失调、血小板异常、细胞外基质重塑等,以期为肝癌的防治策略提供理论依据。
肝癌是人类最常见的原发性癌症之一,是一种多因素诱导、多基因参与、机制复杂的恶性肿瘤。该病具有治疗难度大、预后差等特点,这些临床特征与其独特的肿瘤微环境构成密切相关。肝癌肿瘤微环境是一个由异质性细胞群体、可溶性细胞因子以及重塑的细胞外基质共同组成的动态生态系统。近年来,肝癌肿瘤微环境的研究取得了重要进展,揭示了其在肝癌发生、发展和治疗中的重要作用。本文综述了肝癌肿瘤微环境的关键调控要素,如肝星状细胞活化、免疫细胞功能失调、血小板异常、细胞外基质重塑等,以期为肝癌的防治策略提供理论依据。
, 最新更新时间 , doi: 10.12206/j.issn.2097-2024.202409017
摘要:
经皮给药具有安全、便利和依从性高等特点。然而,皮肤结构复杂且个体差异大,特别是角质层的阻隔导致皮肤外用制剂的生物利用度普遍不高。皮肤外用制剂处方组成复杂,质量影响因素较多,需严格控制产品质量。拉曼光谱作为一种非破坏性的振动光谱,结合化学计量学方法、成像技术和其他光谱技术,可以用于表征皮肤外用制剂的关键质量属性。综述拉曼光谱在皮肤外用制剂的晶型、粒度分布、辅料研究以及体外透皮实验等研究中的应用。在体外透皮试验中,着重探讨了拉曼光谱用于选择实验用皮肤样本、研究药物在皮肤中的空间分布及药物与皮肤相互作用等。
经皮给药具有安全、便利和依从性高等特点。然而,皮肤结构复杂且个体差异大,特别是角质层的阻隔导致皮肤外用制剂的生物利用度普遍不高。皮肤外用制剂处方组成复杂,质量影响因素较多,需严格控制产品质量。拉曼光谱作为一种非破坏性的振动光谱,结合化学计量学方法、成像技术和其他光谱技术,可以用于表征皮肤外用制剂的关键质量属性。综述拉曼光谱在皮肤外用制剂的晶型、粒度分布、辅料研究以及体外透皮实验等研究中的应用。在体外透皮试验中,着重探讨了拉曼光谱用于选择实验用皮肤样本、研究药物在皮肤中的空间分布及药物与皮肤相互作用等。
, 最新更新时间 , doi: 10.12206/j.issn.2097-2024.202312024
摘要:
结直肠癌(CRC)是最常见的恶性肿瘤之一,极大地威胁人类生命健康。胆汁酸稳态的改变可激活相应受体发挥免疫调节功能,同CRC的发生密切相关。此外,部分胆汁酸已被证实可直接诱发结直肠癌,并在结直肠癌的发展过程中发挥重要作用。对胆汁酸的体内代谢过程以及胆汁酸受体的免疫调节作用进行综述,并总结了胆汁酸与结直肠癌的关联证据。调节胆汁酸水平可能起到预防或治疗结直肠癌的作用。
结直肠癌(CRC)是最常见的恶性肿瘤之一,极大地威胁人类生命健康。胆汁酸稳态的改变可激活相应受体发挥免疫调节功能,同CRC的发生密切相关。此外,部分胆汁酸已被证实可直接诱发结直肠癌,并在结直肠癌的发展过程中发挥重要作用。对胆汁酸的体内代谢过程以及胆汁酸受体的免疫调节作用进行综述,并总结了胆汁酸与结直肠癌的关联证据。调节胆汁酸水平可能起到预防或治疗结直肠癌的作用。
, 最新更新时间 , doi: 10.12206/j.issn.2097-2024.202411043
摘要:
氧化应激是铁死亡发展和进展的重要病理生理途径。病理条件下,大量的活性氧(ROS)的产生超过了抗氧化防御系统的缓冲能力,导致细胞在氧化应激状态下脂质过氧化,进而出现细胞铁死亡。细胞脂质过氧化还会生成毒性醛,从而与重要生物大分子作用,破环细胞正常功能。目前研究发现醛脱氢酶2(ALDH2)能消除这些醛类物质,调控毒性醛-ROS-氧化应激-脂质过氧化这个循环,从而起到改善与铁死亡相关的疾病预后效果。简要介绍铁死亡和ALDH2,并总结了目前ALDH2改善铁死亡相关疾病的研究工作,可为后续与铁死亡相关的疾病治疗研究拓展新的方向。
氧化应激是铁死亡发展和进展的重要病理生理途径。病理条件下,大量的活性氧(ROS)的产生超过了抗氧化防御系统的缓冲能力,导致细胞在氧化应激状态下脂质过氧化,进而出现细胞铁死亡。细胞脂质过氧化还会生成毒性醛,从而与重要生物大分子作用,破环细胞正常功能。目前研究发现醛脱氢酶2(ALDH2)能消除这些醛类物质,调控毒性醛-ROS-氧化应激-脂质过氧化这个循环,从而起到改善与铁死亡相关的疾病预后效果。简要介绍铁死亡和ALDH2,并总结了目前ALDH2改善铁死亡相关疾病的研究工作,可为后续与铁死亡相关的疾病治疗研究拓展新的方向。
, 最新更新时间 , doi: 10.12206/j.issn.2097-2024.202411006
摘要:
质谱成像(MSI)是一种新兴的分子成像技术,兼具高空间分辨率和分子信息获取能力。该技术能够直接获取肿瘤组织内代谢物、蛋白质、脂质等分子的空间分布图谱,揭示肝癌发生发展过程中的分子异常变化,弥补了传统影像学(如CT、MRI)在分子层面信息的不足。在肝癌研究中,MSI在早期诊断与筛查、精确分型、肿瘤异质性分析及分子机制探索中展现出独特优势和应用潜力。本文综述了MSI技术的原理特点及其在肝癌早期诊断、分型、分子机制研究中的最新进展,并探讨了当前面临的挑战及未来发展方向。旨在为深入理解肝癌病理机制及推动其精准诊疗提供新的视角和理论依据。
质谱成像(MSI)是一种新兴的分子成像技术,兼具高空间分辨率和分子信息获取能力。该技术能够直接获取肿瘤组织内代谢物、蛋白质、脂质等分子的空间分布图谱,揭示肝癌发生发展过程中的分子异常变化,弥补了传统影像学(如CT、MRI)在分子层面信息的不足。在肝癌研究中,MSI在早期诊断与筛查、精确分型、肿瘤异质性分析及分子机制探索中展现出独特优势和应用潜力。本文综述了MSI技术的原理特点及其在肝癌早期诊断、分型、分子机制研究中的最新进展,并探讨了当前面临的挑战及未来发展方向。旨在为深入理解肝癌病理机制及推动其精准诊疗提供新的视角和理论依据。
, 最新更新时间 , doi: 10.12206/j.issn.2097-2024.202404081
摘要:
目的:了解苯扎贝特致横纹肌溶解症的临床特点,分析其致不良反应的相关原因,为临床合理应用提供参考。方法:检索国内外数据库(2000年1月1日~2023年11月30日)苯扎贝特致横纹肌溶解症的病例报告类文献,提取相关基础数据进行统计分析,对符合入选标准的病例进行苯扎贝特用药合理性及不良反应关联性评价。结果:检测到苯扎贝特致横纹肌溶解的个案报道共26篇,包含28例患者。其中男性10例,女性18例,平均年龄为(64.57±11.20)岁,发生不良反应时间中位值为6(4、8.5)天。患者除高血脂外均合并有其他疾病,且肌酐清除率普遍小于80ml/min,有16例患者超剂量使用苯扎贝特。结论:苯扎贝特说明书需要国家药品监督管理部门的规范和管理;临床应用苯扎贝特时应注意用药合理性,加强不良反应监测与患者用药教育。
目的:了解苯扎贝特致横纹肌溶解症的临床特点,分析其致不良反应的相关原因,为临床合理应用提供参考。方法:检索国内外数据库(2000年1月1日~2023年11月30日)苯扎贝特致横纹肌溶解症的病例报告类文献,提取相关基础数据进行统计分析,对符合入选标准的病例进行苯扎贝特用药合理性及不良反应关联性评价。结果:检测到苯扎贝特致横纹肌溶解的个案报道共26篇,包含28例患者。其中男性10例,女性18例,平均年龄为(64.57±11.20)岁,发生不良反应时间中位值为6(4、8.5)天。患者除高血脂外均合并有其他疾病,且肌酐清除率普遍小于80ml/min,有16例患者超剂量使用苯扎贝特。结论:苯扎贝特说明书需要国家药品监督管理部门的规范和管理;临床应用苯扎贝特时应注意用药合理性,加强不良反应监测与患者用药教育。
, 最新更新时间 , doi: 10.12206/j.issn.2097-2024.202409007
摘要:
中药中含有萜类、脂肪族类等多种挥发性成分(VOCs),具有显著的药理活性,常用气相色谱(GC)、气相色谱-质谱联用(GC-MS)进行分析,虽分离能力强,但样品需要预处理且分析时间长。近年来,气相色谱(GC)与离子迁移谱技术(IMS)联用广受学术界关注,该技术结合GC的高分离能力和IMS的快速反应能力,具有样品无需预处理、分析时间快、检测限低、操作简单等优点,在中药研究中应用日益广泛。本文介绍GC-IMS的工作原理,总结了其在中药VOCs研究中的应用,并对未来的发展方向进行展望。
中药中含有萜类、脂肪族类等多种挥发性成分(VOCs),具有显著的药理活性,常用气相色谱(GC)、气相色谱-质谱联用(GC-MS)进行分析,虽分离能力强,但样品需要预处理且分析时间长。近年来,气相色谱(GC)与离子迁移谱技术(IMS)联用广受学术界关注,该技术结合GC的高分离能力和IMS的快速反应能力,具有样品无需预处理、分析时间快、检测限低、操作简单等优点,在中药研究中应用日益广泛。本文介绍GC-IMS的工作原理,总结了其在中药VOCs研究中的应用,并对未来的发展方向进行展望。
, 最新更新时间 , doi: 10.12206/j.issn.2097-2024.202412058
摘要:
紫苏为唇形科紫苏属的一年生草本植物,具有食用和药用价值,有着悠久的种植和使用历史。挥发油是紫苏叶的主要活性成分之一,紫苏醛为其特征性成分。挥发油含量测定方法多样,其含量受不同种质差异、生长期和提取方法影响。挥发油中成分主要由甲羟戊酸和莽草酸两条途径合成调控,具有抗菌、抗氧化、抗炎、抗肿瘤和抗抑郁等生物活性。紫苏挥发油的这些特性使其在食品保鲜、香料工业以及医药领域具有广泛的应用前景。随着对紫苏挥发油成分和生物合成途径的进一步研究,提高紫苏品质,明确挥发油的活性物质基础及作用机制,以便更深入地挖掘利用紫苏的药食两用价值。
紫苏为唇形科紫苏属的一年生草本植物,具有食用和药用价值,有着悠久的种植和使用历史。挥发油是紫苏叶的主要活性成分之一,紫苏醛为其特征性成分。挥发油含量测定方法多样,其含量受不同种质差异、生长期和提取方法影响。挥发油中成分主要由甲羟戊酸和莽草酸两条途径合成调控,具有抗菌、抗氧化、抗炎、抗肿瘤和抗抑郁等生物活性。紫苏挥发油的这些特性使其在食品保鲜、香料工业以及医药领域具有广泛的应用前景。随着对紫苏挥发油成分和生物合成途径的进一步研究,提高紫苏品质,明确挥发油的活性物质基础及作用机制,以便更深入地挖掘利用紫苏的药食两用价值。
, 最新更新时间 , doi: 10.12206/j.issn.2097-2024.202402028
摘要:
恶性肿瘤、神经退行性疾病、血管性疾病等一直是临床治疗的难点,由于这些疾病的发病机制复杂性,找寻疗效高且副作用小的药物是治疗药物研究的热点。RRx-001作为潜在首创的小分子药物,有望成为肿瘤免疫治疗、放化疗增敏和保护的重要临床一线药物。目前,RRx-001已进入Ⅲ期临床研究阶段,Ⅱ期临床试验数据证实了RRx-001临床安全性和有效性,并且发现与临床肿瘤治疗一线药物联合用药的优越性。本文总结了RRx-001的作用机制研究新进展和主要临床试验研究结果,对后续针对RRx-001的优化设计和临床应用具有一定的指导意义。
恶性肿瘤、神经退行性疾病、血管性疾病等一直是临床治疗的难点,由于这些疾病的发病机制复杂性,找寻疗效高且副作用小的药物是治疗药物研究的热点。RRx-001作为潜在首创的小分子药物,有望成为肿瘤免疫治疗、放化疗增敏和保护的重要临床一线药物。目前,RRx-001已进入Ⅲ期临床研究阶段,Ⅱ期临床试验数据证实了RRx-001临床安全性和有效性,并且发现与临床肿瘤治疗一线药物联合用药的优越性。本文总结了RRx-001的作用机制研究新进展和主要临床试验研究结果,对后续针对RRx-001的优化设计和临床应用具有一定的指导意义。
, 最新更新时间 , doi: 10.12206/j.issn.2097-2024.202309021
摘要:
乳酸菌基于其安全性、益生性及肠道可定植性,是活体药物递送系统的良好候选者,现阶段众多研究将其作为蛋白药物递送载体用于疾病治疗。作为一种模式生物,多样化的基因修饰方案使其可以应用于各类疾病并能够发挥显著的治疗效果。乳酸菌药物载体具有多种优势,包括无创给药、基因可编辑性、可大规模生产等,因此利用乳酸菌作为重组蛋白表达载体的研究引起了全球范围的关注。本文对乳酸菌药物递送系统的应用基础、生物利用度提升、基因编辑策略以及研究应用现状进行了归纳和总结。
乳酸菌基于其安全性、益生性及肠道可定植性,是活体药物递送系统的良好候选者,现阶段众多研究将其作为蛋白药物递送载体用于疾病治疗。作为一种模式生物,多样化的基因修饰方案使其可以应用于各类疾病并能够发挥显著的治疗效果。乳酸菌药物载体具有多种优势,包括无创给药、基因可编辑性、可大规模生产等,因此利用乳酸菌作为重组蛋白表达载体的研究引起了全球范围的关注。本文对乳酸菌药物递送系统的应用基础、生物利用度提升、基因编辑策略以及研究应用现状进行了归纳和总结。
, 最新更新时间 , doi: 10.12206/j.issn.2097-2024.202311049
摘要:
目的 分析硫酸镁钠钾口服液(OSS)用于肠道准备的临床效果。 方法 选取2023年1~8月间在上海交通大学医学院附属第九人民医院消化科拟行结肠镜检查的患者,符合条件的受试者按照随机、双盲、对照临床试验分为两组:A组,服用复方聚乙二醇电解质散(PEG);B组,服用硫酸镁钠钾口服液(OSS)。对肠道准备的质量、药物耐受性及安全性进行了评估。肠道准备的质量用波士顿肠道准备量表(BBPS)进行评价。 结果 B组右半结肠BBPS评分2.39±0.82明显高于A组2.11±0.43(P<0.05)。总体评分B组高于A组(P<0.05)。OSS较PEG易于服用,口感、整体感受均较好,患者愿意再次检查时仍使用该药物清洁肠道(P<0.05)。两组恶心、呕吐症状有明显差异(P<0.05),两组患者服药前及服药后肾功能及电解质无明显改变。 结论 OSS肠道清洁质量更高,更易于患者接受。
, 最新更新时间 , doi: 10.12206/j.issn.2097-2024.202311012
摘要:
目的 探究不同填料含量、重复使用次数、加压条件的固相萃取柱对复方甘草口服溶液吗啡含量测定的影响。 方法 色谱柱为C8柱(4.6 mm×150 mm,5 μm),流动相:乙腈-2.5 mmol/L庚烷磺酸钠溶液-50 mmol/L磷酸二氢钾溶液(5∶18∶18),柱温:30℃,流速:1.0 ml/min,检测波长:220 nm,进样量:20 µl。 结果 规格为500 mg填料的固相萃取柱对吗啡有着较高的回收率,RSD值小;固相萃取柱最多可以重复使用3次;在加压条件下,流速为0.5 ml/min时,测得的吗啡含量与常压下测得的吗啡基本保持一致。 结论 复方甘草口服溶液吗啡含量测定可选择规格为500 mg的C18固相萃取柱在加压下调节流速约为0.5 ml/min下进行吗啡的提取,固相萃取柱能重复使用3次,既可完全提取复方甘草口服溶液中的吗啡,又能提高吗啡的检测效率。
, 最新更新时间 , doi: 10.12206/j.issn.2097-2024.202302020
摘要:
目的 探讨夏枯草消瘤合剂治疗非小细胞肺癌(NSCLC)的作用机制。 方法 通过TCMSP、BATMAN-TCM平台结合文献挖掘,筛选夏枯草消瘤合剂的活性成分,预测其作用靶点,运用GeneCards、OMIM、PharmGKB、TTD和Drugbank数据库筛选NSCLC疾病靶点,结合夏枯草消瘤合剂抗Lewis肺癌小鼠的差异基因,获得交集靶点。运用Cytoscape软件构建中药-活性成分-核心靶点网络图;利用STRING数据库构建交集靶点PPI网络图;运用Metascape数据库进行GO功能富集分析和KEGG通路富集分析;预测夏枯草消瘤合剂抗NSCLC的关键靶点和关键活性成分,通过Schrodinger软件进行分子对接验证。 结果 得到夏枯草消瘤合剂治疗NSCLC的32个活性成分和24个交集靶点。发现ESR1、MAPK1等11个核心靶点,其作用机制可能与介导细胞衰老、受体激活、催乳素信号通路等30条信号通路有关。 结论 夏枯草消瘤合剂的多个活性成分,作用于多靶点和多个信号通路,调节复杂的生物过程,通过调控ESR1治疗NSCLC,并可能对提高女性患者的生存率和预后做出更大贡献。
, 最新更新时间 , doi: 10.12206/j.issn.2097-2024.202501017
摘要:
目的 完善茵陈蒿汤体内入血成分的分析,探究其抗肝癌的作用机制。 方法 ①采用超高效液相色谱-四极杆飞行时间质谱技术,对单次灌胃给予茵陈蒿汤25 ml/kg(含生药0.1 g/ml) 2 h后的小鼠进行血液样本采集并分析,系统研究茵陈蒿汤在体内的化学成分;②利用网络药理学方法筛选茵陈蒿汤成分及其靶点与肝癌靶点;③找出茵陈蒿汤与肝癌的共同靶点进行GO富集和KEGG富集;④对主要靶点进行分子对接,以验证活性成分与核心靶点结合能力。⑤通过qPCR技术分析茵陈蒿汤水煎液及口服预防给药14 d后和未经预防给药的,刀豆蛋白A(con-A)所致急性肝损伤小鼠以及未作任何处理的对照组小鼠的肝脏组织中AKT1和TP53的mRNA的相对表达量。 结果 ①以体外成分分析数据检索,鉴定了茵陈蒿汤入血后的活性成分。分别是大黄酚、7-甲氧基香豆素、芦荟大黄素、水晶兰苷;②利用网络药理学方法进一步分析入血成分抗肝癌的作用机制,共筛选茵陈蒿汤成分30个,靶点213个、肝癌靶点215个;③茵陈蒿汤与肝癌交集靶点17个,包括丝氨酸和苏氨酸激酶(AKT1)、肿瘤蛋白p53(TP53)、酪氨酸激酶受体2(ERBB2)、人类转录因子MYC、白介素-1β(IL-1β)等;GO富集结果显示,这些靶点主要涉及DNA复制、染色体分离、白细胞介导的免疫、白细胞细胞间黏附等;KEEG富集结果显示,其主要涉及多种癌症通路、柠檬酸循环(TCA循环)丙酮酸代谢、p53信号通路等;④分子对接结果显示,大黄酚、7-甲氧基香豆素、芦荟大黄素与AKT1、TP53、ERBB2、MYC、IL-1β皆有较强的结合能力。⑤造模组的AKT1和TP53的mRNA相对表达量明显高于对照组,给药组的AKT1和TP53的mRNA相对表达量明显低于造模组。 结论 鉴定得到茵陈蒿汤4种入血成分,其中,大黄酚、7-甲氧基香豆素、芦荟大黄素可能作用于AKT1、TP53、ERBB2、MYC、IL-1β,进而参与调控癌症通路、p53信号通路等,是茵陈蒿汤抗肿瘤作用的潜在活性成分。
, 最新更新时间 , doi: 10.12206/j.issn.2097-2024.202502015
摘要:
目的 观察血通胶囊对高血脂模型动物的血脂、肝脏损伤的保护作用。 方法 ICR小鼠60只,随机分为6组,一组给于正常饲料,其余各组利用高脂饲料制备高血脂模型,造模4周后,3组灌胃给予低、中、高剂量血通胶囊(0.5、1.0和2.0 g/kg),阳性药物阿托伐他汀钙灌胃给药(剂量为1.5 mg/kg),模型组给予溶媒(0.5%羧甲基纤维素钠)。连续治疗8周,随后测定动物体重、脏器指数、血脂、血糖、肝功能指标,肝脏油红染色测定脂滴含量,利用定量PCR检测炎性因子TNF-α、IL-6和IL-1β表达水平。 结果 高脂造模显著增加小鼠体重,增加肝脏、脾脏绝对重量和脏器指数,加重肝脏油红染色程度,血清血糖以及甘油三酯(TG)、胆固醇(CHOL)、低密度脂蛋白胆固醇(LDL-C)水平显著增加。与模型组比较,低、中、高剂量组TG水平与模型组均无显著差异。3个组剂量依赖性地降低模型小鼠CHOL,中、高剂量组有统计学差异。LDL-C结果类似,中、高剂量组LDL-C水平显著降低(中剂量组0.55±0.21 mM;高剂量组0.52±0.22 mM 与模型组0.81±0.29 mM,P<0.01)。与正常对照比较,高脂造模与各给药组HDL-C水平无显著差异。肝脏功能显示,血通胶囊显著地降低肝脏油红染色程度,降低高脂引起的谷丙转氨酶(ALT)升高。阿托伐他汀钙显著降低高脂模型动物体重,减轻肝脏和脾脏绝对重量和脏器指数,同时降低血清CHOL、LDL-C以及TG,减少ALT水平,减轻肝脏油红染色程度。进一步的研究显示,血通胶囊高剂量可显著降低高脂引起的TNF-α和IL-6表达(P<0.05),一定程度降低IL-1β水平,但统计学无显著性差异(P>0.05)。 结论 血通胶囊显著降低高脂动物体重,减轻肝脏增大、脂肪沉积和炎性损伤,显著地降低血脂CHOL、LDL-C水平,减少转氨酶升高。以上作用可能与血通胶囊减少肝脏TNF-α、IL-6等炎性因子表达有关。
, 最新更新时间 , doi: 10.12206/j.issn.2097-2024.202404050
摘要:
目的 基于文献计量学方法对我国试验用药品管理领域的文献进行数据挖掘,明确该领域的发展现状与研究热点。 方法 在中国知网等3家中文文献数据库中,以“试验”、“药品”、“管理”为检索词,用“and”或“和”连接,从文献中提取文献题名、作者姓名、作者单位名称、中文摘要、中文关键词、发表年限、期刊名称等内容,根据中国知网文献可视化分析系统、CiteSpace等软件进行聚类分析并绘制网状知识图谱。 结果 我国试验用药品管理领域的文献最早发表于1994年,至2022年共计发表文献140篇,其中有20篇文献得到了相关基金资助,关键词共现频次最高的是“受试者”,刊载文献最多的媒介为《中国药学年鉴》。 结论 现阶段我国试验用药品管理领域的文献数量较少且质量较低,作者间的合作也不紧密、交流较少,各基金项目对此领域的资助力度也有所欠缺,以上因素导致该领域的整体发展水平较低、发展速度较为缓慢。
, 最新更新时间 , doi: 10.12206/j.issn.2097-2024.202409045
摘要:
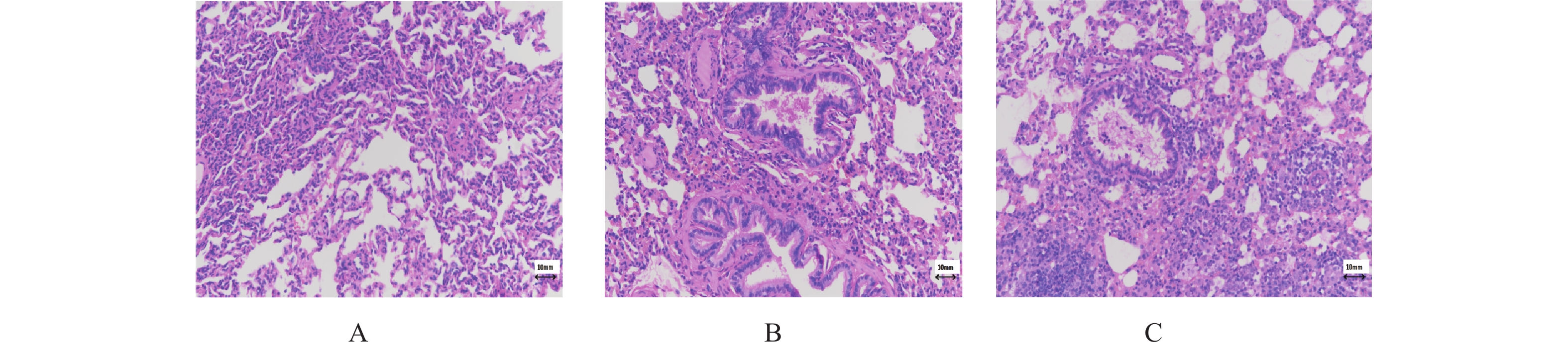
目的 探讨激活α7烟碱乙酰胆碱受体(α7nAChR)对氯化钙(CaCl2)诱导的小鼠腹主动脉瘤(AAA)损伤的影响。 方法 采用CaCl2诱导野生型(WT)小鼠及α7nAChR敲除(α7nAChR−/-)小鼠形成AAA模型。通过HE染色、EVG染色及IHC染色评估敲除α7nAChR对CaCl2诱导的小鼠AAA组织学损伤及炎症因子表达的影响。以TNF-α刺激大鼠来源原代血管平滑肌细胞(VSMC)模拟AAA炎症微环境,采用Western-Blot检测PNU-282987 激活α7nAChR后其炎症相关蛋白表达的变化。 结果 CaCl2处理后,模型组小鼠主动脉扩张明显且腹主动脉结构被破坏,敲除α7nAChR使损伤进一步加重,并且显著上调AAA小鼠炎症相关蛋白的表达。体外实验结果表明TNF-α刺激VSMC后增加炎症相关蛋白表达,而激活α7nAChR可阻断这一现象。 结论 激活α7nAChR可能通过抑制炎症应答减轻CaCl2诱导的小鼠AAA损伤。
, 最新更新时间 , doi: 10.12206/j.issn.2097-2024.202304011
摘要:
目的 研究新型二氢卟吩化合物5-(4-羧甲氧基苯基)-10,15,20-三苯基-二氢卟吩(D1)和5-(4-羧丙氧基苯基)-10,15,20-三苯基-二氢卟吩(D2)的光动力学性能及其介导的光动力学作用对肺癌的杀伤效果。 方法 测定新化合物D1和D2的紫外-可见吸收光谱和荧光光谱;以DPBF作为单线态氧捕捉剂检测D1和D2的单线态氧生成能力;利用荧光法检测化合物在人肺腺癌细胞A549内的细胞吞噬率,用MTT法检测化合物的暗毒性和光毒性;建立肺癌荷瘤裸鼠模型,考察化合物介导的光动力作用在体内的抗肿瘤活性,并进一步检测了D2在荷瘤裸鼠体内的血药浓度以及在肿瘤组织和皮肤组织中的分布。 结果 D1和D2在652 nm长波长处具有强吸收,最佳激发波长位于429 nm和427 nm处,最佳发射波长位于659 nm左右,并具有高于对照药m-THPC的单线态氧生成速率;D1和D2在10 μmol/L以下的浓度基本没有暗毒性,并可被人肺腺癌细胞A549摄取,于18 h~24 h基本达到饱和;在650 nm波长激光照射后D1和D2在体内外均具有明显的抗肿瘤活性(P<0.01),其中化合物D2在给药后可选择性地聚集于肿瘤组织,最佳治疗时间为给药后30 min以内。 结论 D2具有优秀的光动力抗肿瘤活性,并能选择性聚集于肿瘤组织,具备成为肺癌诊治光敏剂候选药物的潜力,值得进行进一步的研究。
, 最新更新时间 , doi: 10.12206/j.issn.2097-2024.202503005
摘要:
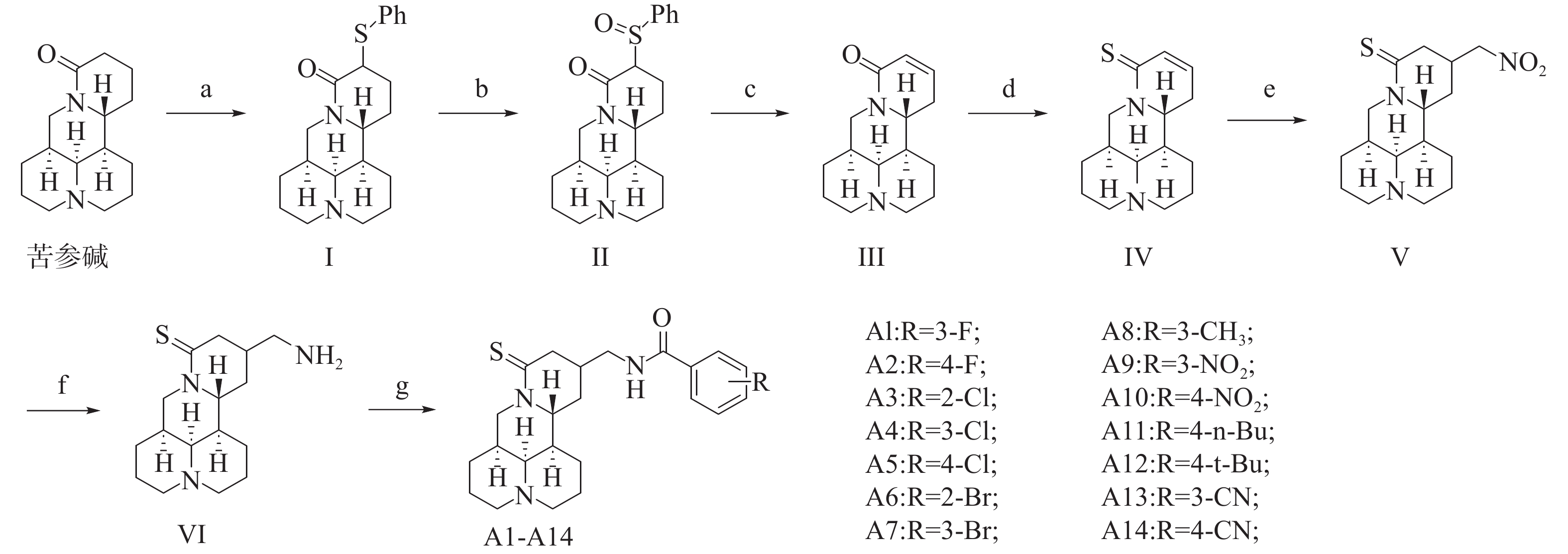
目的 中药苦参中含有的苦参类生物碱具有良好的抗炎活性,本研究通过对苦参碱进行结构修饰,探讨新型苦参碱衍生物的结构与抗炎活性之间的构效关系。 方法 以苦参碱为先导化合物,通过化学修饰得到14个新型苦参碱衍生物。以苦参碱和 M19 为阳性对照,采用细胞计数试剂盒-8(CCK-8)法检测苦参碱衍生物对RAW264.7细胞的细胞毒性,使用一氧化氮(NO)检测试剂盒检测苦参碱衍生物对脂多糖(LPS)诱导的RAW264.7细胞炎症模型NO生成的抑制作用,并采用酶联免疫吸附试验(ELISA)检测苦参碱衍生物对LPS诱导的RAW264.7细胞炎症模型中白细胞介素-6(IL-6)和肿瘤坏死因子-α(TNF-α)分泌的影响。 结果 与 M19 相比,所有新型苦参碱衍生物均表现出较低的细胞毒性;在NO抑制方面,所有衍生物的活性均优于苦参碱,部分衍生物活性甚至超过 M19 ,其中化合物 A12 显示出最优的NO抑制率;化合物 A11 和 A12 的IL-6抑制活性优于对照 M19 ;在TNF-α抑制方面,化合物 A12 同样表现出最优异的活性。 结论 化合物 A12 在抑制NO、IL-6和TNF-α释放方面表现出最强的活性,具有最佳的抗炎效果,为后续深入研究提供了重要的先导化合物。
, 最新更新时间 , doi: 10.12206/j.issn.2097-2024.202407001
摘要:
目的 优选对萼猕猴桃苷E的提取分离纯化工艺。 方法 以对萼猕猴桃苷E的含量为指标,采用单因素考察结合正交试验确定对萼猕猴桃苷E的最佳提取工艺;通过优化大孔吸附树脂柱、硅胶柱和ODS柱的色谱条件,对提取物进行分离纯化。 结果 对萼猕猴桃苷E的最佳提取工艺为:以25倍量的55%乙醇95 ℃加热回流1 h。优化的分离纯化工艺为:D101型大孔树脂柱以50%乙醇洗脱7 BV;硅胶柱以乙酸乙酯-乙醇10∶1洗脱5 BV;ODS柱重复纯化50%甲醇洗脱部分,最终得到对萼猕猴桃苷E单体化合物。整个工艺对萼猕猴桃苷E的转移率为53.70%,得率为0.35%,纯度达99.9%。 结论 该工艺稳定可行,可为对萼猕猴桃苷E的开发利用提供物质基础。
, 最新更新时间 , doi: 10.12206/j.issn.2097-2024.202402020
摘要:
目的 探索CYP2C19、CYP2C9、CYP3A5基因型对儿童伏立康唑血药浓度的影响。 方法 收集2020年1月至2020年12月,接受伏立康唑静脉治疗的50例侵袭性真菌感染住院儿童的血液标本。采用HPLC法检测伏立康唑血药谷浓度,采用飞行时间质谱检测系统进行CYP2C19、CYP2C9、CYP3A5基因型检测,分析儿童相关基因分型对伏立康唑血药浓度、疗效以及不良反应的影响。 结果 50例IFI儿童接受伏立康唑治疗后,总有效率达84%(42/50例),不良反应发生率20%(10/50例)。测定伏立康唑血药浓度范围0.56~7.62 μg/ml。结合CYP2C19基因位点的不同突变类型,产生快、中、慢3种代谢活性,检测结果显示:快代谢16例、中间代谢27例、慢代谢7例。3组间的血浆浓度有明显的差异,(F=15.359,P< 0.001),快代谢组的药物浓度明显低于中间代谢和慢代谢组。CYP2C9、CYP3A5的突变对血药浓度无明显影响,分别为(F=2.213,P=0.086)和(F=0.757,P=0.475)。 结论 伏立康唑治疗儿童侵袭性真菌感染疗效显著,不良反应轻微。CYP2C19基因型与药物代谢速率明显相关,是影响血药浓度的重要因素,开展伏立康唑的药物浓度与基因型的检测,有助于临床调整有效药物剂量,实现更为科学的个体化治疗。
, 最新更新时间 , doi: 10.12206/j.issn.2097-2024.202307034
摘要:
目的 基于代谢组学的方法研究烟酰胺(NAM)协同两性霉素B(AmB)抑制白念珠菌的潜在作用机制。 方法 分别使用适当浓度的NAM、AmB单独处理和二者联用处理浮游型白念珠菌,再基于气相色谱-质谱联用技术分析其胞内代谢物,通过多元统计分析筛选差异代谢物,并用NIST数据库进行检索鉴定。 结果 与对照组相比,NAM单独干预组与之分离趋势不明显,而AmB组、联用组与之具有明显的分离趋势。AmB干预后有23个代谢物发生显著性变化,NAM+AmB联合干预后有28个代谢物发生显著性变化,包括氨基酸、有机酸、多胺、糖类等成分。 结论 NAM是白念珠菌的内源性代谢物,其与AmB联用后可增强AmB在原代谢通路中的作用,同时一定程度上改变了其作用途径,推测NAM与AmB联用后可能通过调整白念珠菌的三羧酸循环、干扰其氨基酸代谢、影响多胺的合成等途径来发挥其对AmB的增效作用。
, 最新更新时间 , doi: 10.12206/j.issn.2097-2024.202303006
摘要:
目的 基于Keap1/Nrf2/HO-1信号通路探讨利舒康胶囊对高原缺氧小鼠学习记忆障碍的改善作用。 方法 将 60只Balb/C雄性小鼠随机分为正常对照组、缺氧模型组、红景天胶囊组:400 mg/kg、利舒康胶囊低、中、高剂量组:400 mg/kg、600 mg/kg、800 mg/kg,每组10只。各组灌胃给药7 d,第4 d给药结束后,正常对照组饲养于当地海拔(1500 m),其余各组置于低压低氧动物实验舱模拟高原海拔7500 m缺氧3 d,期间每天灌胃给药一次,正常对照组和缺氧模型组给予生理盐水,末次给药后1 h,采用八臂迷宫检测小鼠在模拟高原缺氧状态下空间记忆能力;HE染色观察小鼠脑组织海马区的形态学变化;Western blot 法检测海马组织中Keap1/Nrf2/HO-1信号通路蛋白含量变化及凋亡相关蛋白含量变化。 结果 与正常对照组相比,缺氧模型组小鼠空间记忆能力明显损伤(P<0.01);HE染色观察小鼠海马神经元损伤严重;Keap1蛋白含量及凋亡相关蛋白Bax、Caspase-3含量均上升(P<0.01);Nrf2、HO-1及凋亡相关蛋白Bcl-2含量下降(P<0.01)。与缺氧模型组相比,利舒康胶囊高剂量组小鼠在八臂迷宫行为学实验中错误率显著降低(P<0.05,P<0.01);HE染色观察神经元细胞排列整齐,细胞形态较好;Keap1蛋白含量及凋亡相关蛋白Bax、Caspase-3含量均下降(P<0.01);Nrf2、HO-1及凋亡相关蛋白Bcl-2含量上升(P<0.01)。 结论 高原缺氧可以导致小鼠氧化应激损伤、诱导凋亡相关基因的表达,从而加重了小鼠认知功能的障碍;利舒康胶囊能有效改善缺氧引起的小鼠学习记忆障碍,其作用机制可能与调控Keap1/Nrf2/HO-1信号通路、降低凋亡有关。
, 最新更新时间 , doi: 10.12206/j.issn.2097-2024.202112011
摘要:
目的 建立荜茇提取物中5个生物碱含量测定方法,并评估该提取物对垂体后叶素所致大鼠实验性心肌缺血的影响。 方法 采用HPLC法同时测定5个生物碱的含量;采用经舌下静脉注射垂体后叶素造成急性心肌缺血模型,以造模前后T波变化绝对值、心率及其变化百分率为观测指标,评估荜茇提取物大、中、小三个剂量组对大鼠实验性心肌缺血的影响。 结果 3批荜茇提取物中胡椒碱平均含量依次为56.1%、49.7%、51.6%;N-异丁基-2E,4E-十八烷二烯酰胺平均含量依次为4.48%、4.21%、4.28%;几内亚胡椒碱平均含量依次为0.461%、0.378%、0.396%;荜茇明碱平均含量依次为1.73%、1.67%、1.70%;胡椒酰胺平均含量依次为0.554%、0.461%、0.493%;荜茇提取物大、中、小剂量组均有降低T波变化绝对值的作用;除大剂量组在个别时间点有降低心率的作用之外,其它各实验组在各时间点对心率变化率无显著影响。 结论 所建立的生物碱含量测定分析方法可准确定量荜茇提取物中5个生物碱的含量;药效试验证明荜茇提取物具有较好的抗心肌缺血活性。
, 最新更新时间 , doi: 10.12206/j.issn.2097-2024.202411032
摘要:
目的 探讨奥希替尼与吉非替尼治疗表皮生长因子受体(EGFR)突变的晚期非小细胞肺癌(NSCLC)的成本效果。 方法 选取2021年6月到2022年8月,承德市中心医院收治的52例奥希替尼治疗合并EGFR突变的晚期NSCLC患者设为A组,另采用倾向性评分匹配法按照1∶1比例同期匹配52例吉非替尼治疗的患者设为B组。对比两组患者的治疗成本和疗效,计算成本效果比,并进行敏感性分析。 结果 A组治疗总有效率高于B组(90.38% vs 71.15%,χ2=6.190,P=0.013);A组的药物成本和治疗总成本高于B组(P<0.05),其他直接成本低于B组(P<0.05);A组的增量成本效果比为374.71;对两组的成本效果行敏感性分析调整药物成本下降10%及总有效率下降10%后,敏感性分析结果与原结果基本一致。 结论 奥希替尼对EGFR突变的晚期NSCLC患者的疗效优于吉非替尼,尽管吉非替尼的治疗成本更低,但奥希替尼更具有成本效果优势,可为临床制定EGFR突变的晚期NSCLC患者的治疗方案提供重要参考依据。
, 最新更新时间 , doi: 10.12206/j.issn.2097-2024.202412043
摘要:
目的 基于高效液相色谱法(HPLC)建立呋喹替尼治疗药物监测的色谱分析方法。 方法 采用Welch Ultimate XB-C18(4.6 mm×150 mm,5 μm)色谱柱,检测波长240 nm,柱温35℃,流动相为乙腈:10 mmol/L磷酸二氢钾(pH 3.15)=40∶60(V/V),流速为1.0 ml/min,内标为阿帕替尼,血浆样品经乙酸乙酯液液萃取后进样测定。 结果 方法学考察结果显示呋喹替尼在浓度15.63~500.00 ng/ml范围内线性良好(r=0.999 9),方法的回收率为95%~110%,RSD均小于10%,方法的提取回收率均高于97%,所有稳定性考察均符合要求。 结论 本研究所建立的HPC法具有专属性高、检测简便和推广性强等优点,可广泛用于临床上肿瘤患者的呋喹替尼血药浓度的监测。
, 最新更新时间 , doi: 10.12206/j.issn.2097-2024.202504044
摘要:
目的 探究表皮生长因子受体酪氨酸激酶抑制剂(EGFR-TKIs)单药治疗及其联合治疗在 EGFR突变晚期非小细胞肺癌(NSCLC)患者一线治疗中的有效性和安全性。 方法 系统检索PubMed、Embase、Cochrane Library及ClinicalTrials.gov等数据库,收集符合要求的Ⅱ/Ⅲ期随机对照试验(RCT),时间范围为建库至2023年6月。由2名研究者独立筛选文献、提取数据并评价研究偏倚风险,对总生存期(OS)、无进展生存期(PFS)、客观缓解率(ORR)及3级及以上不良事件(≥3AEs)和严重不良事件(SAEs)等结局数据进行收集。在贝叶斯理论框架下,使用R软件(版本4.2.1)进行网状Meta分析。同时,根据患者不同病理生理特点,对生存结局(OS、PFS)进行亚组分析。 结果 研究纳入28项Ⅱ/Ⅲ期RCT,共7 460例患者,涉及18种一线治疗方案。结果显示,疗效方面,吉非替尼联合培美曲塞的化疗在OS和ORR方面表现最优,奥希替尼联合贝伐珠单抗在PFS方面表现最优。安全性方面,伏美替尼≥3AEs发生率最低,奥希替尼SAEs发生率最低。亚组分析结果显示,针对患者不同临床病理特征,各治疗方案的疗效和安全性存在差异。 结论 以奥希替尼为代表的第三代EGFR-TKIs单药治疗是综合疗效与安全性的优选方案,部分联合治疗可提高生存获益但需警惕毒性增加。临床需结合患者突变类型、并发症和耐受性个体化选择治疗方案。
, 最新更新时间 , doi: 10.12206/j.issn.2097-2024.202406047
摘要:
目的 探讨预防紫衫类制剂超敏反应可行的简化预处理方案。 方法 使用电子病历系统查询2021年6月1日至2024年6月30日期间该院消化内科一病区初次接受紫杉醇脂质体治疗的49例晚期胃癌患者的数据,包括预处理方案、过敏情况及其他不良反应。 结果 31例预处理方案为前12 h和前6 h口服地塞米松9 mg+口服氯雷他定10 mg+口服雷尼替丁150 mg;18例为前12 h和前6 h口服地塞米松9 mg+口服氯雷他定10 mg。所有患者均未出现过敏反应。两种简化方案的其他不良反应发生率无显著差异(P>0.05)。 结论 根据文献资料和实践,针对紫杉类制剂提出口服糖皮质激素(GC)联合口服H1受体阻滞剂(H1RA)的二联简化预处理方案,为临床医生提供新思路。但其有效性尚需进一步临床研究进行验证。
, 最新更新时间 , doi: 10.12206/j.issn.2097-2024.202411036
摘要:
目的 探究瑞马唑仑用于术前镇静对患儿苏醒期谵妄(ED)的影响。 方法 选择2023年7月至2024年9月在厦门大学附属中山医院行扁桃体和(或)腺样体切除术的3~6岁患儿,随机分为瑞马唑仑0.1 mg/kg组(R1组)、瑞马唑仑0.2 mg/kg组(R2组)和生理盐水组(P组)。3组分别采用0.1 mg/kg瑞马唑仑、0.2 mg/kg瑞马唑仑和生理盐水进行术前镇静。主要结局指标为ED发生率。次要结局指标包括进入手术室时的父母分离焦虑评分(PSAS);麻醉诱导时的依从性量表(ICC)评分;麻醉苏醒时间;丙泊酚补救率;苏醒期的儿童行为疼痛评分量表(FLACC)评分和术后疼痛发生率;术中、术后不良反应发生率;术后1、7和30 d不良行为改变(NPOBCs)发生率。 结果 共119例患儿完成研究,其中,R1组41例,R2组38例,P组40例。R1组和R2组患儿的ED发生率、丙泊酚补救率、PSAS评分和ICC评分低于P组(P<0.05),且上述结果R2组优于R1组(P<0.05);3组患儿的苏醒时间、FLACC评分、术后疼痛和术中、术后不反应发生率无统计学差异(P>0.05);R1组和R2组患儿术后1 d和7 d的NPOBCs发生率低于P组(P<0.05),但3组术后30 d的NPOBCs发生率无统计学差异(P>0.05)。 结论 瑞马唑仑用于术前镇静可以减少扁桃体和(或)腺样体切除术患儿ED发生率,对缓解患儿术前焦虑和预防NPOBCs有积极作用。
, 最新更新时间 , doi: 10.12206/j.issn.2097-2024.202407013
摘要:
目的 运用网络药理学及分子对接技术探讨健复饮治疗勃起功能障碍(ED)的分子机制,通过体外实验验证健复饮治疗ED的核心靶点及作用机制。 方法 通过检索TCMSP、Batman-TCM数据库查找健复饮的活性成分、相对应的分子靶点,在GeneCards数据库上查找并下载ED的相关靶点,再对药物靶点与疾病靶点取交集。通过String数据库对交集靶间相互作用情况进行描绘分析,使用Cytoscape软件对分析结果进行可视化,确定核心靶点与对应药物活性单体;对交集靶点进行GO功能富集分析和KEGG通路富集分析;通过Cytoscape软件上的MCODE插件找到交集内的核心靶点并与对应的药物活性成分进行分子对接;构建人脐静脉内皮细胞(HUVEC)内皮功能障碍模型(si-eNOS转染);采用不同浓度健复饮干预模型细胞24 h;通过实时荧光定量PCR(QPCR)检测预测核心靶点(MAPK1、MAPK3、JUN、ESR1、MAPK8)的mRNA表达水平;Western blot分析相关蛋白(eNOS、JUN、p-JUN、MAPK、p-MAPK)表达及磷酸化水平。分析讨论健复饮治疗ED的作用机制。 结果 得到健复饮有效活性成分144个,活性成分-疾病交集靶点168个,GO分析得到2005个生物过程,151个分子功能,63个细胞组件。KEGG分析得到181条通路。筛选出MAPK1、MAPK3、JUN、ESR1、MAPK8等5个核心靶点,β-谷甾醇、山柰酚与黄芪紫檀烷苷等活性成分与核心靶点具有较好的结合力。体外实验显示,si-eNOS转染后,eNOS蛋白表达显著降低,内皮功能障碍模型构建成功;健复饮以剂量依赖性方式显著抑制MAPK1、MAPK3、JUN、ESR1、MAPK8的mRNA表达;健复饮显著降低JUN和MAPK的磷酸化水平,提示其通过抑制JNK/c-Jun和ERK/MAPK信号通路改善内皮功能。 结论 健复饮通过多靶点(MAPK/JUN/ESR1)抑制异常信号通路激活,降低内皮细胞凋亡并促进NO合成,从分子层面验证其“活血化瘀、益气强心”的中医治则。
, 最新更新时间 , doi: 10.12206/j.issn.2097-2024.202404093
摘要:
目的 通过与替加环素联合头孢哌酮舒巴坦的双联疗法对比,比较硫酸黏菌素联合头孢哌酮舒巴坦治疗泛耐药鲍曼不动杆菌肺内感染的有效性。 方法 采用回顾性分析方法,将2019年1月至2021年7月我院诊断为鲍曼不动杆菌感染的肺炎ICU患者216例,倾向性匹配按1∶2的比例分为试验组(71例)和对照组(145例),试验组采用硫酸黏菌素联合头孢哌酮舒巴坦治疗,对照组采用替加环素联合头孢哌酮舒巴坦治疗。根据两组治疗前后临床症状及指标变化,观察两组的临床有效率、细菌清除率、28天死亡率。 结果 试验组在早期评估临床有效率、细菌清除率均高于对照组(P<0.05);在治疗结束时临床有效率及28天死亡率无统计学意义。 结论 针对多重耐药鲍曼不动杆菌肺内感染,与替加环素联合头孢哌酮舒巴坦组相比,硫酸黏菌素联合头孢哌酮舒巴坦与其疗效相当,在早期评估临床疗效、细菌清除率方面优于替加环素联合头孢哌酮舒巴坦组。
, 最新更新时间 , doi: 10.12206/j.issn.2097-2024.202404071
摘要:
目的 分析2016−2020年间全国17家儿童专科医院儿童用药的使用情况,为我国儿童基本药物目录的制定和医保目录的完善提供参考和借鉴。 方法 以中国药学会全国医药信息网(CMEI)2016−2020年间上报数据的17家儿童专科医院儿童用药监测数据为基础,对样本医院的整体情况和药品的解剖学、治疗学及化学分类系统(ATC)大类的儿童临床药物使用情况进行分析。 结果 在各ATC大类中,全院院均金额中全身用抗感染药物下降趋势明显;全院院均DDDs中,呼吸和消化系统及代谢药下降趋势明显。2020年基本药物(2018版)院均品规数量占全药使用品规数量的15.82%,医保(2019版)院均品规数量占全药使用品规数量的8.23%。 结论 2016−2020年样本医院儿科用药情况基本合理,现有基本药物目录和医保目录与实际临床使用习惯还具有一定差距,基本药物目录和医保目录尚有待调整。
, 最新更新时间 , doi: 10.12206/j.issn.2097-2024.202402034
摘要:
目的 合理管控泌尿系统碎石术抗菌药物预防使用,并分析管控措施的成效。 方法 通过开展抗菌药物科学化管理,加强抗菌药物专项点评和合理用药信息通报,增补完善抗菌药物处方前置审核规则,临床药师深入临床进行培训与会诊,加强合理用药工作创新以及泌尿外科针对碎石术预防使用抗菌药物积极整改的多项措施,分析2019−2022年海军军医大学第一附属医院泌尿外科抗菌药物相关指标数据的变化。 结果 积极的合理管控后,泌尿外科抗菌药物使用强度逐年下降;住院患者抗菌药物使用率由2019年的94.27%下降为2022年的77.47%;各项微生物送检率于2022年都达标;泌尿系统碎石术预防使用抗菌药物消耗DDDs品种排名中亚胺培南西司他丁注射剂由2019年的第4位下降为2022年的第8位;碳青霉烯类抗菌药物消耗DDDs全院科室排名中泌尿外科由2019年的第8位下降为2022年的第12位;与此同时泌尿系统碎石术后感染的发生率呈逐年下降趋势,由2019年的0.84%下降为2022年的0.49%。 结论 积极的管控措施可促进泌尿系统碎石术抗菌药物预防使用趋于合理。
, 最新更新时间 , doi: 10.12206/j.issn.2097-2024.202504050
摘要:
目的 本文旨在回顾军队医院制剂室的历史沿革,分析其在军事药学领域的重要地位,探讨当前发展现状及面临的矛盾问题,并为未来发展方向提供理论探讨。 方法 通过对军队医院制剂室的历史沿革进行梳理,分析其在不同历史阶段的特点及作用,剖析当前存在的矛盾问题,并结合现代军事需求和医学科技发展,探讨创新路径。 结果 军队医院制剂室在不同的历史时期,始终发挥了重要的军事药学保障作用。但随着时代的发展、科技的进步、国内医药生产能力和创新能力的提高,以及军队编制体制构成的调整等诸多因素的影响,军队医院制剂室的发展面临诸多的矛盾问题。针对这些问题,提出了智能化保障技术集成路径和跨体系协同研发模式构建等创新路径。 结论 军队医院制剂室在军事药学领域具有不可替代的地位,但目前需通过优化人力资源结构、创新业务体系、构建军事药学理论与监管标准、推动军民融合等措施,提升其战场适应能力,完善新型军事卫勤理论,以满足现代军事需求。
, 最新更新时间 , doi: 10.12206/j.issn.2097-2024.202504131
摘要:
目的 探讨基于失效模式与效应分析(FMEA)的规范化管理方法在优化静脉用药调配中心(PIVAS)全过程质量控制体系中的应用效果。 方法 由护士长牵头建立6个质量控制小组,药学、护理、工勤人员全员参与,确保质量控制各环节全面覆盖、可追溯。各小组对其质量控制过程中的潜在失效模式进行风险优先指数(RPN)评分,并根据评分结果制定针对性改进措施。比较实施前后失效模式的RPN值及质量控制相关评价指标,实现闭环管理。 结果 经过1年管理,6项主要失效模式RPN值较实施前显著降低(P<0.05),配置差错率从2.45%下降至0.13%,排药差错率由3.19%下降至0.95%,配置效率提升至98%,配送时间缩短至0.45小时/批次,不合理医嘱干预率提升至94.87%,满意度提升至96.78%,质控人员参与率达95.36%(P<0.05)。 结论 基于 FMEA 对静脉用药调配中心全流程质量控制体系中潜在失效模式的识别,结合风险量化和针对性干预,显著降低了失效模式的高危风险,提升配置准确性和效率,保障临床静脉用药安全及医疗质量管理效能。
, 最新更新时间 , doi: 10.12206/j.issn.2097-2024.202408046
摘要:
目的 探讨丙戊酸钠和左乙拉西坦在治疗儿童癫痫病中的成本-效果,为临床用药提供经济学依据。 方法 采用成本-效果分析方法,基于决策树模型,比较丙戊酸钠和左乙拉西坦在治疗儿童癫痫病中的有效率与药品成本。通过单因素敏感性分析和概率敏感性分析,评估各参数变动对研究结果的影响。 结果 左乙拉西坦的治疗成本显著高于丙戊酸钠,左乙拉西坦和丙戊酸钠比较的增量成本-效果比(ICER)值为8 628.43元。敏感性分析与基础分析结果相一致,概率敏感性分析结果显示,基于6个月的治疗周期,当支付意愿为9 000元或以上时,左乙拉西坦是更为经济的方案。单因素敏感性分析显示,在影响ICER的各因素中,左乙拉西坦的价格为最敏感因素。 结论 每治疗1例有效的儿童癫痫患者的支付意愿值在9 000元或以上时,左乙拉西坦更具有经济学优势。
, 最新更新时间 , doi: 10.12206/j.issn.2097-2024.202501034
摘要:
目的 通过CiteSpace软件以及系统评价方法实证量化药品不良反应(ADR)自动监测系统的研究热点及优势,为ADR自动监测体系的建立、发展及应用提供借鉴和参考。 方法 在中国知网、Web of Science数据库中检索并筛选出截止2023年12 月的有关ADR自动监测领域的文献,运用CiteSpace 6.4.R1软件进行共现、聚类以及突现分析,可视化呈现并比较分析国内外药品不良反应自动监测领域研究的热点、规律和分布情况。遵照系统评价和荟萃分析(PRISMA)声明,检索并筛选涵盖以英文及中文发表的包括使用自发报告系统(Incident Reporting Systems,IRSs)和自动监测研究收集到的包含ADRs检出率数据的文献, 比较这两种方法的ADR报告数量、ADR阳性信号的类型,以分析自动监测系统的优劣势。 结果 CiteSpace共纳入英文文献56 篇,中文文献 80 篇。研究热点包括数据挖掘、深度学习、文本分类技术、机器学习等。系统评价中共有7项研究符合系统评价纳入标准,所有研究均在医院进行,于1991年至2021年分别在4个国家发表。回顾了15家机构对150 526份医疗记录,使用IRSs收集的ADR报告共计194例,同期使用自动监测系统收集ADR报告共计2 090例,ADR报告数量增量977%(P=0.0156 )。 结论 ADR自动监测系统显著提升了用药风险识别水平并降低了成本,但需优化算法、扩展数据源并开展标准化建设以克服当前局限。
, 最新更新时间 , doi: 10.12206/j.issn.2097-2024.202303027
摘要:
目的 梳理信息技术在我国用药安全领域应用的现状及研究热点,揭示最新研究前沿,为后续研究提供依据。 方法 检索2012~2022年中国知网、万方、维普三大数据库中有关信息技术在用药安全领域应用的相关文献,借助Citespace软件进行可视化分析。 结果 共纳入848篇有效文献,年发文量呈阶段性增长趋势,作者和发文机构之间合作不够紧密,信息技术在用药安全领域的应用主要体现在药学服务、静脉用药调配中心以及抗菌药物,用药安全领域信息化建设的主要技术手段有处方前置审核系统、知识库、自动化。研究前沿主要为智能化、知识库、处方审核以及中成药。 结论 信息技术在我国用药安全领域的应用正处于蓬勃发展时期,应加强不同地域、机构以及作者之间的合作,促进信息共享。未来应重点关注信息技术在中成药方向的相关研究,进一步完善信息技术在用药安全领域应用的研究内容。
, 最新更新时间 , doi: 10.12206/j.issn.2097-2024.202508061
摘要:
目的 探索建立喷替酸原料药的细菌内毒素限值及检查方法,并进行方法学考察。 方法 用三批喷替酸建立细菌内毒素测定方法,并进行干扰试验研究。以市售碱性调节剂溶解样品至4 mg/ml及以下浓度,用细菌内毒素检查用水进行稀释;选用灵敏度为0.125 EU/ml及以上的鲎试剂,用市售的镁离子缓冲液复溶;用凝胶法进行内毒素检查 。 结果 喷替酸原料药的细菌内毒素限值确定为:小于0.125 EU/mg。 结论 本文所建立的细菌内毒素检查方法可用于喷替酸原料药中细菌内毒素的控制。
, 最新更新时间 , doi: 10.12206/j.issn.2097-2024.202402004
摘要:
目的 香囊是具有显著中国文化特色的物品,具有多方面的应用价值,其医药价值是其重要方面。特别是近年来,SARS、MERS、COVID-19等疫情相继爆发,中药香囊的医药价值更加受到重视,普及应用越来越多。但在国家、行业、地方、团体等各个层面上,均未出台中药香囊有关标准,不利于行业的健康发展。故拟建立中药香囊团体标准,以引领行业发展。 方法 在对中药香囊应用现状进行梳理的基础上,通过调查研究、资料收集、起草标准草案、征求意见、审查审定、标准验证等步骤,开展了中药香囊质量标准研究。 结果 建立了国内中药香囊首个质量标准,保证中了药香囊标准的科学性、先进性、合理性和经济实用性。 结论 建立的中药香囊质量标准既切合实际又保证安全可靠、易于实施,为中药香囊传承和推广应用提供技术参考。
, 最新更新时间 , doi: 10.12206/j.issn.2097-2024.202406029
摘要:
目的 考察三种基源的中药狼毒(瑞香狼毒Stellera chamaejasme L.、狼毒大戟Euphorbia fischeriana Steud.和甘肃大戟Euphorbia kansuensis Prokh.)乙醇提取物外用对咪喹莫特(Imiquimod,IMQ)诱导的银屑病小鼠的防治作用。 方法 将36只BALB/c 雄性小鼠随机分为空白组、模型组、瑞香狼毒组、狼毒大戟组、甘肃大戟组和卡泊三醇组,每组 6 只,通过PASI 评分记录各组小鼠的皮损变化,HE染色观察皮肤组织病理形态并测量表皮厚度,免疫组化检测小鼠皮损组织中细胞核抗原 Ki67 的表达情况。 结果 与模型组相比,三种狼毒乙醇提取物均能降低银屑病样小鼠PASI评分,抑制表皮异常增厚,减少表皮 Ki67异常表达,其中瑞香狼毒的治疗效果最为显著,且优于临床常用药卡泊三醇。 结论 瑞香狼毒乙醇提取物具有较好的抗银屑病活性作用,可抑制角质形成细胞异常增殖,减少皮损组织Ki67表达,显著改善银屑病样皮损。
, 最新更新时间 , doi: 10.12206/j.issn.2097-2024.202306020
摘要:
目的 建立中心切割二维液相色谱法测定人血浆中拉莫三嗪药物浓度。 方法 采用外标法定量,第一维色谱柱:SNCB(T)-1A(硅胶,4.6 mm×50 mm, 5 µm),流动相A:VCV-1D移动相,流速:0.4 ml/min;流动相B:水,流速:1.0 ml/min;第二维色谱柱:Symmetry C18(4.6 mm×250 mm, 5 µm),流动相:乙腈-10 mmol/L乙酸铵溶液(V/V=25∶75),流速:1.0 ml/min;中间色谱柱:SBX4-MA(树脂,3.0 mm×10 mm, 5 µm);紫外检测波长306 nm,柱温:45 ℃,进样量:200 µl。 结果 拉莫三嗪在1.24~39.50 µg/ml血药浓度范围内线性关系良好(r = 0.999 9),定量下限为1.24 µg/ml,检测限为0.02 µg/ml;日内精密度RSD均小于5%,日间精密度RSD均小于10%;日内准确度范围为102.17%~111.17%,日间准确度范围为99.80%~107.31%;回收率RSD均小于5%,其变化范围在89.95%~96.16%;经室温保存24 h、反复冻融3次和-40 ℃保存2周等稳定性考察,其测定值/标示值比值范围在87.01%~115.88%。 结论 本研究建立的方法操作简单、稳定性好、灵敏度高、重现性好,适用于临床开展拉莫三嗪血药浓度监测工作,为临床个体化用药指导提供可靠的监测数据支持。
, 最新更新时间 , doi: 10.12206/j.issn.2097-2024.202310021
摘要:
目的 采用UPLC法建立穿心莲标准汤剂的质量评价方法。 方法 依照中药饮片标准汤剂制备要求,制备21批穿心莲饮片标准汤剂,建立超高效液相特征图谱分析方法,以穿心莲内酯为参照,建立新穿心莲内酯、14-去氧穿心莲内酯和脱水穿心莲内酯的一测多评法,并与外标法测定结果比较。 结果 采用《中药色谱指纹图谱相似度评价系统(2012版)》软件进行特征图谱分析,共标定7个共有峰,指认了木犀草素-7-O-β-D-葡萄糖醛酸苷、穿心莲内酯、新穿心莲内酯、14-去氧穿心莲内酯和脱水穿心莲内酯5个成分,一测多评法与外标法测定各成分含量结果RSD均在3%以内。 结论 所建立的特征图谱和一测多评方法准确、可靠,可较全面地反映穿心莲标准汤剂的内在质量,为穿心莲配方颗粒及其它制剂的质量评价提供依据。
, 最新更新时间 , doi: 10.12206/j.issn.2097-2024.20240380
摘要:
为阐明生命意义感与抑郁症状之间的因果关系,探讨生命意义感的演变模式及其对抑郁症状检出率的影响,研究采用生命意义感问卷与抑郁症状筛查问卷对896名某高校大学生进行了间隔12个月2轮次的纵向调查。结果发现:(1)T1生命意义感可负向预测T2抑郁症状,而T1抑郁症状并不能显著预测T2生命意义感。(2)高校大学生生命意义感由T1到T2的演变模式可分为4类:持续低意义组、意义提升组、意义降低组和高意义稳定组,其抑郁症状检出率分别为13.00%、5.00%、12.00%、4.00%。(3)生命意义感演变模式对抑郁症状检出率存在显著影响。与高意义稳定组相比,持续低意义组和意义降低组的抑郁症状检出率显著较高。结果提示高校心理健康教育应重点关注持续低意义与意义降低群体,提高生命意义感是减少大学生抑郁症状检出率的有效干预途径。
为阐明生命意义感与抑郁症状之间的因果关系,探讨生命意义感的演变模式及其对抑郁症状检出率的影响,研究采用生命意义感问卷与抑郁症状筛查问卷对896名某高校大学生进行了间隔12个月2轮次的纵向调查。结果发现:(1)T1生命意义感可负向预测T2抑郁症状,而T1抑郁症状并不能显著预测T2生命意义感。(2)高校大学生生命意义感由T1到T2的演变模式可分为4类:持续低意义组、意义提升组、意义降低组和高意义稳定组,其抑郁症状检出率分别为13.00%、5.00%、12.00%、4.00%。(3)生命意义感演变模式对抑郁症状检出率存在显著影响。与高意义稳定组相比,持续低意义组和意义降低组的抑郁症状检出率显著较高。结果提示高校心理健康教育应重点关注持续低意义与意义降低群体,提高生命意义感是减少大学生抑郁症状检出率的有效干预途径。
投审稿系统
作者登录
审稿登录
编辑登录
读者登录



学术新闻