2025 Vol. 45, No. 7
Display Method:
2025, 43(7): 313-319.
doi: 10.12206/j.issn.2097-2024.202308065
Abstract:
Piper nigrum L. is an evergreen climbing vine, which belongs to the genus Piperia in the Piperaceae family. Piper nigrum L., which known as the “king of spices”, is used as both food and medicine. The main active substances in Piper nigrum L. are alkaloids mainly composed of amides, and essential oil, as well as phenolic compounds. In this paper, the chemical compositions, especially amide alkaloids, and their biological activities of Piper nigrum L. were summarized. These studies showed that Piper nigrum L., as a medicinal and food plant, had a wide range of biological activities and was deserved further research and in-depth utilization.
Piper nigrum L. is an evergreen climbing vine, which belongs to the genus Piperia in the Piperaceae family. Piper nigrum L., which known as the “king of spices”, is used as both food and medicine. The main active substances in Piper nigrum L. are alkaloids mainly composed of amides, and essential oil, as well as phenolic compounds. In this paper, the chemical compositions, especially amide alkaloids, and their biological activities of Piper nigrum L. were summarized. These studies showed that Piper nigrum L., as a medicinal and food plant, had a wide range of biological activities and was deserved further research and in-depth utilization.
2025, 43(7): 320-324.
doi: 10.12206/j.issn.2097-2024.202502005
Abstract:
The pathogenesis of ankylosing spondylitis (AS) is usually insidious and has not been fully elucidated. Non-steroidal anti-inflammatory drugs (NSAIDs) and anti-rheumatic drugs (ARDs) are usually given to improve the condition. however, some patients still have poor results or adverse reactions from conventional treatments. Biological agents have significantly changed therapeutic strategies in the field of rheumatology since their clinical application was initiated and are gradually becoming the main therapeutic option for patients with AS. The current research progress on biologics in the treatment of AS in terms of the current treatment status, clinical problems, and solution strategies were reviewed, which could provide theoretical basis and reference with clinical value, and promote the precise treatment of AS in the future.
The pathogenesis of ankylosing spondylitis (AS) is usually insidious and has not been fully elucidated. Non-steroidal anti-inflammatory drugs (NSAIDs) and anti-rheumatic drugs (ARDs) are usually given to improve the condition. however, some patients still have poor results or adverse reactions from conventional treatments. Biological agents have significantly changed therapeutic strategies in the field of rheumatology since their clinical application was initiated and are gradually becoming the main therapeutic option for patients with AS. The current research progress on biologics in the treatment of AS in terms of the current treatment status, clinical problems, and solution strategies were reviewed, which could provide theoretical basis and reference with clinical value, and promote the precise treatment of AS in the future.
2025, 43(7): 325-328, 366.
doi: 10.12206/j.issn.2097-2024.202404077
Abstract:
Objective To explore the analytical methods combining multicolor flow cytometry with bioinformatics techniques for analyzing myeloid cells in the gastrocnemius of mice after muscle injury, and provide an experimental foundation for the study of muscle regeneration mechanisms. Methods Immune cells were collected from single-cell suspensions of mouse gastrocnemius using multicolor flow cytometry, and data were analyzed by the t-distributed stochastic neighbor embedding(t-SNE)algorithm supplemented by manual gating techniques. The tSNE algorithm was used in multicolor flow cytometry to guide the setting of manual gates, optimize the identification and classification of cell populations. Results Compared to the sham surgery group, the proportions of dendritic cells, granulocytes, macrophages, and monocytes at the site of muscle injury in the model group significantly increased, with the increasing in monocytes being particularly notable. Conclusion The application of the tSNE algorithm combined with manual gating techniques in multicolor flow cytometry demonstrated that this method could effectively guide the setting of manual gates and enhance the efficiency of distinguishing immune cell types. Through this combined technology, the function and subtypes of myeloid cells in the mouse gastrocnemius could be analyzed more accurately.
2025, 43(7): 329-334.
doi: 10.12206/j.issn.2097-2024.202505043
Abstract:
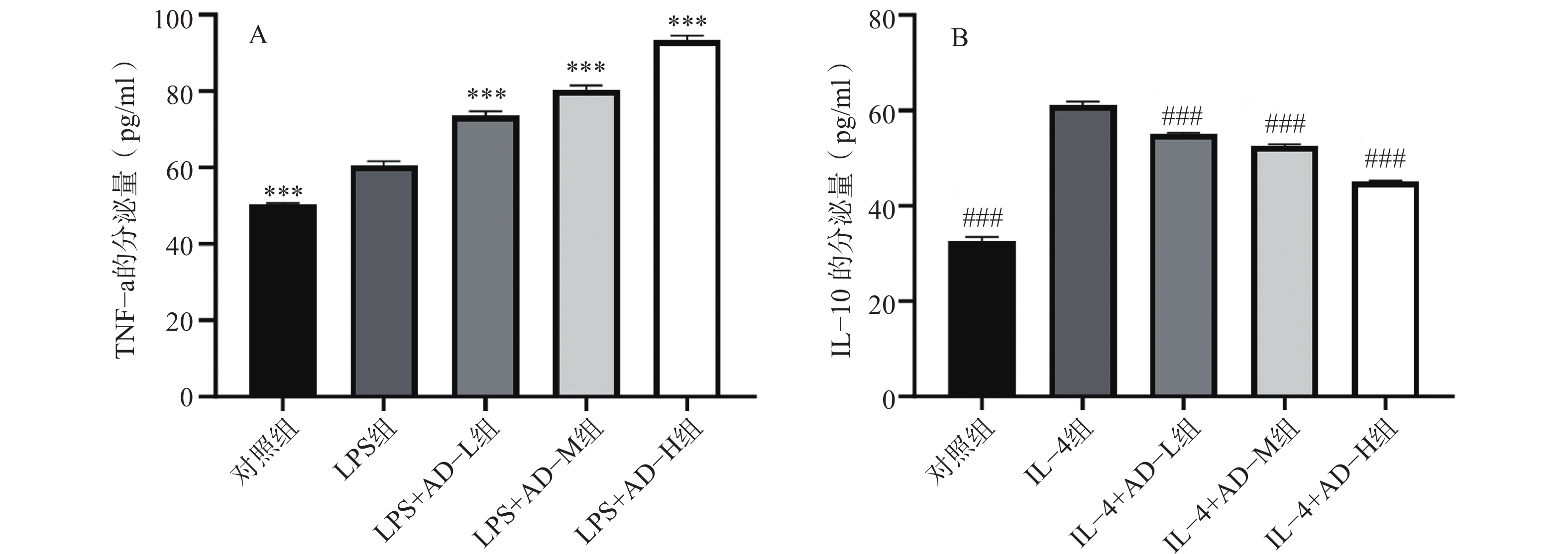
Objective To investigate the effects of Aconite decoction (AD) on the viability and polarization of murine RAW264.7 macrophages induced by lipopolysaccharide (LPS) or interleukin-4 (IL-4). Methods Cytotoxicity of AD was assessed by the CCK-8 assay. RAW264.7 cells were polarized toward M1 phenotype by LPS or M2 phenotype by IL-4, followed by treatment with varying concentrations of AD. Macrophage polarization was analyzed by flow cytometry. Quantitative PCR was performed to measure mRNA expression of polarization-associated markers (IL-6, iNOS, Arg1, and Ym1). ELISA was used to quantify secreted cytokines (TNF-α and IL-10)in the supernatant. Results At non-toxic concentrations, IL-6 and iNOS mRNA levels in LPS-stimulated cells were significantly upregulated while Arg1 and Ym1 expression in IL-4-treated groups were downregulated by AD. Concurrently, TNF-α secretion in LPS-induced M1 polarization was enhanced but IL-10 production in IL-4-induced M2 polarization was suppressed by AD. Conclusion AD could promote macrophage proliferation and viability, augments LPS-driven M1 polarization, and inhibit IL-4-mediated M2 polarization, which provided experimental evidence for the potential application of AD in tumor immunotherapy.
2025, 43(7): 335-338, 352.
doi: 10.12206/j.issn.2097-2024.202401048
Abstract:
Objective To study anti-inflammatory activities of oridonin derivatives without Michael fragment. Methods Two oridonin sulfonylureas were designed and synthesized by a photocatalysis reaction and a scaffold hopping strategy. The inhibitory rate of IL-1β was selected for anti-inflammatory activity evaluation. Results Both compound ZM658 and ZM659 revealed potent anti-inflammatory activities with the values of 69.3% and 59.7% in THP-1 cells, respectively. Moreover, two compounds also showed dose-dependent and low cytotoxicity. Conclusion The result indicated that Michael receptor fragment of oridonin could be substituted with sulfonylurea group.
2025, 43(7): 339-343, 361.
doi: 10.12206/j.issn.2097-2024.202311021
Abstract:
Objective To investigate the effect of triptolide on cerebral ischemia- reperfusion injury (CIRI) and explore its molecular mechanism. Methods One hundred and forty-four Wistar rats were randomly divided into sham operation group, model group, low, medium, high dose of triptolide group and butylphthalide group, with 24 rats in each group. The CIRI rat model was established by blocking the middle cerebral artery for 2 hours. 3 days before modeling, the rats in each group were ip administration once a day. 24 hours after reperfusion, the neurological deficit score was detected, the rate of cerebral infarction was measured by TTC staining, the blood brain barrier (BBB) permeability was detected by EB penetration test. The pathological changes neurons in the ischemic penumbra cortex were observed by HE and TUNEL staining. The content of inflammatory factors in ischemic cerebral cortex were detected by Elisa method. The expression of TLR4/NF-κB pathway related proteins were detected by Western blot. Results Compared with the model group, the neurological deficit score, cerebral infarction rate and EB content in the triptolide middle, high dose groups and the butylphthalide group were significantly decreased (P<0.05). The pathological changes of cortical neurons in the ischemic penumbra were significantly improved, and the apoptosis rate of neurons was significantly decreased (P<0.05). The content of TNF-α, IL-1β and the expression of TLR4, p-NF-κB, cleaved caspase-3, Bax were significantly decreased, the expression of Bcl-2 was significantly increased, the ratio of p-NF-κB/NF-κB and Bax/Bcl-2 were significantly decreased (P<0.05). The regulatory effect of the high dose triptolide group on various detection indexes were better than that of the butylphthalide group (P<0.05). Conclusion Triptolide could protect the permeability of BBB, improve the neurological deficit and neuropathy in CIRI rats, and reduce the rate of cerebral infarction, its mechanism may be related to the inhibition of TLR4/NF-κB pathway and which mediated inflammatory response and neuronal apoptosis.
2025, 43(7): 344-347.
doi: 10.12206/j.issn.2097-2024.202309040
Abstract:
Objective To analyze the effect of hypoproteinemia on the use of cefoperazone sulbactam in patients, and provide references for the rational use of cefoperazone sulbactam in clinical practice. Methods Clinical data of patients with cefoperazone blood concentration monitoring in our hospital from July 2021 to March 2022 were collected, and divided into low albumin group and normal albumin group according to different albumin concentration. Statistical analysis were conducted based on gender, age, laboratory examination, cefoperazone valley concentration and clinical efficacy of the two groups. Results Age, gender, inflammation and liver function of two groups had not shown statistical difference (P>0.05). Low protein group had significantly higher levels of creatinine than those in group with normal albumin (P<0.05). The trough concentration of cefoperazone in the low protein group was (46.29±36.94) mg/L, and that in the normal albumin group was (38.18±33.79) mg/L. Among the low protein patient group, the plasma concentration of cefoperazone in those treated with human albumin was significantly higher than that in the patients without human albumin treatment (P<0.05). Comparison of the clinical efficacy of the two groups revealed that the low protein group had a lower clinical response rate (P<0.05). Conclusion Supplementation of human serum albumin in patients with hypoproteinemia could increase the plasma concentration of cefoperazone, and correcting hypoproteinemia could be helpful for anti-infection treatment.
2025, 43(7): 348-352.
doi: 10.12206/j.issn.2097-2024.202308034
Abstract:
Objective To observe the effect of Huoxin pill (concentrated pill) combined with Baduanjin on the prognosis of patients with acute myocardial infarction complicated by percutaneous coronary intervention (PCI). Methods 120 patients with acute myocardial infarction complicated with heart failure who received emergency interventional treatment in our hospital from January 2022 to January 2023 were randomly divided into western medicine treatment group and Traditional Chinese Medicine (TCM)comprehensive treatment group. Western medicine treatment: standard western medicine treatment + five prescriptions for cardiac rehabilitation; based on western medicine treatment, Huoxin pill (concentrated pill) combined with Baduanjin therapy was added to the TCM comprehensive treatment group, and the follow-up was 6 months. The observed indexes were exertion angina pectoris scale, Chinese Medicine Syndrome Scale, Chinese medicine syndrome treatment effect evaluation, 6-minute walking test (6MWT), left ventricular ejection fraction (LVEF), and brain natriuretic peptide precursor (pro-BNP). Results Sixty patients were enrolled in the two groups respectively. During the treatment, 2 cases fell off in the western medicine treatment group and 8 cases fell off in the TCM comprehensive treatment group, and a total of 110 cases were enrolled in the group. Compared with the western treatment group, TCM combined therapy significantly improved angina pectoris scale score, TCM Syndrome Scale score, pro-BNP, LVEF and 6MWT (P<0.001). There were no significant differences in blood routine, liver and kidney function, potassium, blood glucose, blood lipids and cardiac Troponin I (cTnI) between the two groups (P>0.05). No adverse cardiovascular events occurred during the entire treatment period in both groups. Conclusion Huoxin pill (concentrated pill) combined with Baduanjin was more effective than western therapy in improving LVEF, 6MWT distance, exercise tolerance and cardiac function in patients with acute myocardial infarction complicated with heart failure.
2025, 43(7): 353-356.
doi: 10.12206/j.issn.2097-2024.202411013
Abstract:
Objective The Nuangong Waifu formula (NGWFF) is a traditional Chinese medicine prescription that has been used in gynecology of traditional Chinese medicine in our hospital for many years. It has a certain effect on preventing postoperative intrauterine re-adhesion. To further retrospectively analyze the clinical efficacy of NGWFF. Methods A total of 200 patients who were diagnosed with intrauterine adhesions and underwent intrauterine adhesion separation from January 2018 to December 2020 were retrospectively included. They were divided into control group and observation group according to different drug use for postoperative prevention of re-adhesion, with 100 cases in each group. All patients were given oral estrogen and progesterone (ethinyl estradiol tablets 0.037 5 mg, q12 h, or estradiol valerate tablets 3 mg, q12 h, a total of 21 days, 7 days after estrogen therapy plus dydrogesterone 20 mg, qd or progesterone capsules 200 mg, qd) to promote endometrial growth. In the control group, 100 patients only used estrogen and progesterone after operation. In the observation group, 100 patients were treated with NGWFF at Guanyuan acupoint (four fingers under the navel), once a day. Both groups were evaluated for the degree of intrauterine adhesions under hysteroscopy and the effective rate after 3-5 menstrual cycles of drug treatment. Results Compared with using estrogen and progesterone alone, combination use of NGWFF significantly decreased in the scores of intrauterine adhesions under hysteroscopy (2.41±1.19 vs 3.31±1.18, P=0.00), and the effective rate was also significantly higher than that in the control group ( 86 % vs 47 %, P<0.000). Conclusion The combination use of NGWFF was more effective than using estrogen and progesterone alone in preventing re-adhesion after intrauterine adhesions, which provided a scientific basis for the clinical application of NGWFF.
2025, 43(7): 357-361.
doi: 10.12206/j.issn.2097-2024.202407002
Abstract:
Objective To explore the effect of community pharmacy outpatient service on patients with type 2 diabetes mellitus. Methods A non-randomized controlled study was conducted, and type 2 diabetes patients managed in the community were divided into an intervention group of 112 cases and a control group of 110 cases. The control group received routine medication guidance during general practice outpatient visits, while the intervention group received comprehensive pharmacy outpatient service intervention based on routine medication guidance in general practice. Follow-up visits were conducted every 3 months. Repeated measurement analysis of variance and multivariate linear regression analysis were used to evaluate the intervention effect of the pharmacy outpatient service. Results Fasting blood glucose and glycosylated hemoglobin levels in the intervention group showed a decreasing trend with the increase of intervention time compared to pre-intervention time (P<0.01), with increased duration of weekly exercise, decreased staple food intake, increased vegetable intake, and increased medication adherence score (P<0.01). After adjusting for confounding factors through multivariate linear regression model, pharmacy outpatient intervention was found to be an independent protective factor for fasting blood glucose level (β=−0.891, P<0.01) and glycosylated hemoglobin level (β=−0.760, P<0.01) in the study subjects. Conclusion The community pharmacy outpatient service could enhance the self-management ability of patients with type 2 diabetes mellitus, and effectively improve patients’ fasting blood glucose and glycosylated hemoglobin.
2025, 43(7): 362-366.
doi: 10.12206/j.issn.2097-2024.202204094
Abstract:
Objective To study the compliance and influencing factors of inhalation therapy in patients with stable chronic obstructive pulmonary disease (COPD),and carry out patient education and management accordingly. Methods COPD patients were selected from respiratory clinic of Luodian Hospital of Baoshan District of Shanghai from June to December in 2021. Compliance and inhalation techniques were assessed with the Morisky Medication Adherence Scale and the ten-step inhalation technique, and the factors influencing compliance were analyzed. Results A total of 58 outpatients with COPD were included, in which 25 cases (43.1%) with moderate or above compliance. Univariate analysis showed that the patients with course of disease ≥5 years, COPD assessment test(CAT)≥10 points, used 2 inhalation devices and inhalation technique score ≥8 points had better compliance when compared with other patients (P<0.05). Conclusion Patient education and management should be carried out actively. The patients with course of disease<5 years, CAT<10 points should be highly concerned. The inhalation devices should be chosen according to the patients' condition. Training on the use of devices should be strengthened and regularly follow-up evaluation should be carried out.
Contribution System
Author Login
Review Login
Editor Login
Reader Login



News