Message Board

Respected readers, authors and reviewers, you can add comments to this page on any questions about the contribution, review,        editing and publication of this journal. We will give you an answer as soon as possible. Thank you for your support!

Name
E-mail
Phone
Title
Content
Verification Code
Volume 45 Issue 11
Nov.  2025
Turn off MathJax
Article Contents

YANG Zhihui, CAI Huadan, XU Fangchu, LIU Yuan, YUAN Hailong. Participation of clinical pharmacists in patient of diffuse alveolar hemorrhage induced by human granulocyte colony-stimulating factor[J]. Journal of Pharmaceutical Practice and Service, 2025, 43(11): 567-571. doi: 10.12206/j.issn.2097-2024.202506021
Citation: YANG Zhihui, CAI Huadan, XU Fangchu, LIU Yuan, YUAN Hailong. Participation of clinical pharmacists in patient of diffuse alveolar hemorrhage induced by human granulocyte colony-stimulating factor[J]. Journal of Pharmaceutical Practice and Service, 2025, 43(11): 567-571. doi: 10.12206/j.issn.2097-2024.202506021

Participation of clinical pharmacists in patient of diffuse alveolar hemorrhage induced by human granulocyte colony-stimulating factor

doi: 10.12206/j.issn.2097-2024.202506021
  • Received Date: 2025-06-19
  • Accepted Date: 2025-10-14
  • Rev Recd Date: 2025-10-11
  • Available Online: 2025-11-19
  • Publish Date: 2025-11-25
  •   Objective  To analyze the possible mechanism and drug treatment plan of diffuse alveolar hemorrhage induced by human granulocyte colony-stimulating factor injection, point out medication risks and provide reference for medical treatment and pharmaceutical care of such patients.   Methods  The abnormal lung conditions of a patient treated with human granulocyte colony-stimulating factor injection was found by clinical pharmacists, who participated in clinical diagnosis and treatment by analyzing of adverse drug reactions, optimization of medical treatment and pharmaceutical care.   Results  Diffuse alveolar hemorrhage was likely an adverse drug reaction caused by human granulocyte colony-stimulating factor injection. The physician discontinued the medication immediately and provided treatment such as oxygen inhalation, high-dose hormone shock, plasma exchange, etc. The patient’s oxygen saturation was improved, alveolar bleeding was decreased, and the condition was improved.   Conclusion  Clinical pharmacists participate in patients’ medication treatment, carry out pharmaceutical guardianship, and assist physicians in adjusting treatment plans, which could contribute to the effectiveness and safety of patient treatment.
  • [1] THEYAB A, ALGAHTANI M, ALSHARIF K F, et al. New insight into the mechanism of granulocyte colony-stimulating factor(G-CSF)that induces the mobilization of neutrophils[J]. Hematology, 2021, 26(1): 628-636. doi:  10.1080/16078454.2021.1965725
    [2] ABBOUD C N, LANG N, FUNG H, et al. Real-world safety experience of tevagrastim/ratiograstim/biograstim and tbo-filgrastim, short-acting recombinant human granulocyte colony-stimulating factors[J]. Support Care Cancer, 2019, 27(7): 2569-2577.
    [3] 卢祥云, 马柯, 温大蔚, 等. 弥漫性肺泡出血病人死亡危险因素分析[J]. 青岛大学学报(医 学 版), 2021, 57(5): 721-724.
    [4] BAUMGARTNER M, ASHTON R. Diffuse alveolar hemorrhage[J]. South Med J, 2011, 104(4): 274-275. doi:  10.1097/SMJ.0b013e3182126d6d
    [5] 向必晓, 左笑丛, 谢悦良. 粒细胞或粒细胞-巨噬细胞集落刺激因子致肺毒性临床特征分析[J]. 中南药学, 2023, 21(6): 1659-1663.
    [6] 刘建影, 宫国华, 刘景娇. 1例健康供者应用重组人粒细胞集落刺激因子所致的弥漫性肺泡出血[J]. 临床肺科杂志, 2023, 28(11): 1780-1782.
    [7] 杨华, 魏晶, 王嘉仡, 等. 药品不良反应/事件报告评价方法研究[J]. 中国药物警戒, 2009, 6(10): 581-584.
    [8] 陈静静, 钱佩佩, 曹凯, 等. 我国药品不良反应关联性评价方法与诺氏评估量表法的对比与分析[J]. 中国药事, 2020, 34(8): 988-992.
    [9] 倪磊, 李庆云. 应重视弥漫性肺泡出血综合征的诊治策略[J]. 内科理论与实践, 2016, 11(4): 202-204.
    [10] LARA A R, SCHWARZ M I. Diffuse alveolar hemorrhage[J]. Chest, 2010, 137(5): 1164-1171. doi:  10.1378/chest.08-2084
    [11] KANAOKA K, IKEBE S, IHARA S, et al. Durvalumab-induced diffuse alveolar hemorrhage: an autopsy case report[J]. Case Rep Oncol, 2020, 13(2): 696-701. doi:  10.1159/000507848
    [12] SAEKI S, NISHIMATSU K, IHARA S, et al. Osimertinib-induced unilateral diffuse alveolar hemorrhage in a patient with pulmonary adenocarcinoma[J]. J Med Cases, 2021, 12(7): 295-299. doi:  10.14740/jmc3702
    [13] DULL S K, JAGAN N, MOORE D R, et al. Diffuse alveolar hemorrhage following pirfenidone initiation[J]. J Pharm Pract, 2020, 33(4): 548-552. doi:  10.1177/0897190019841731
    [14] KOLBEN Y, DARAWSHY F, BARHOUM B, et al. Diffuse alveolar hemorrhage in a healthy stem cell donor following administration of granulocyte colony–stimulating factor[J]. Int Immunopharmacol, 2021, 99: 108019. doi:  10.1016/j.intimp.2021.108019
    [15] 辛庆红, 张文博, 李继成, 等. 17 例弥漫性肺泡出血临床分析[J]. 中国呼吸与危重监护杂志, 2010, 9(6): 624-626.
    [16] 郝兴亮, 纪艳荣, 张建, 等. 药物性弥漫性肺泡出血一例[J]. 中国呼吸与危重监护杂志, 2022, 21(12): 890-892.
    [17] SAEED MM, WOO MS, MAC L, et al. Prognosis in pediatric idiopathic pulmonary hemosiderosis[J]. Chest, 1999, 116(3): 721-725. doi:  10.1378/chest.116.3.721
    [18] UCHIYAMA M, IKEDA T. Diffuse alveolar hemorrhage after unrelated cord blood transplantation[J]. Bone Marrow Transplant, 2010, 45(4): 789-790. doi:  10.1038/bmt.2009.219
    [19] YATES M, WATTS RA, BAJEMA IM, et al. EULAR/ER-EDTA recommendations for the management of ANCA-associated vasculitis[J]. Ann Rheum Dis, 2016, 75(9): 1583-1594. doi:  10.1136/annrheumdis-2016-209133
    [20] 徐作军. 应加强对药物性肺损伤的重视和认识[J]. 中华结核和呼吸杂志, 2017, 40(10): 721-723.
    [21] 范梦瑶, 宋琳, 田泾. 临床药师参与 1 例肝衰竭患者糖皮质激素治疗的分析与药学监护[J]. 药学实践杂志, 2018, 36(5): 464-467.
  • 加载中
通讯作者: 陈斌, bchen63@163.com
  • 1. 

    沈阳化工大学材料科学与工程学院 沈阳 110142

  1. 本站搜索
  2. 百度学术搜索
  3. 万方数据库搜索
  4. CNKI搜索

Figures(1)

Article Metrics

Article views(3826) PDF downloads(52) Cited by()

Related
Proportional views

Participation of clinical pharmacists in patient of diffuse alveolar hemorrhage induced by human granulocyte colony-stimulating factor

doi: 10.12206/j.issn.2097-2024.202506021

Abstract:   Objective  To analyze the possible mechanism and drug treatment plan of diffuse alveolar hemorrhage induced by human granulocyte colony-stimulating factor injection, point out medication risks and provide reference for medical treatment and pharmaceutical care of such patients.   Methods  The abnormal lung conditions of a patient treated with human granulocyte colony-stimulating factor injection was found by clinical pharmacists, who participated in clinical diagnosis and treatment by analyzing of adverse drug reactions, optimization of medical treatment and pharmaceutical care.   Results  Diffuse alveolar hemorrhage was likely an adverse drug reaction caused by human granulocyte colony-stimulating factor injection. The physician discontinued the medication immediately and provided treatment such as oxygen inhalation, high-dose hormone shock, plasma exchange, etc. The patient’s oxygen saturation was improved, alveolar bleeding was decreased, and the condition was improved.   Conclusion  Clinical pharmacists participate in patients’ medication treatment, carry out pharmaceutical guardianship, and assist physicians in adjusting treatment plans, which could contribute to the effectiveness and safety of patient treatment.

YANG Zhihui, CAI Huadan, XU Fangchu, LIU Yuan, YUAN Hailong. Participation of clinical pharmacists in patient of diffuse alveolar hemorrhage induced by human granulocyte colony-stimulating factor[J]. Journal of Pharmaceutical Practice and Service, 2025, 43(11): 567-571. doi: 10.12206/j.issn.2097-2024.202506021
Citation: YANG Zhihui, CAI Huadan, XU Fangchu, LIU Yuan, YUAN Hailong. Participation of clinical pharmacists in patient of diffuse alveolar hemorrhage induced by human granulocyte colony-stimulating factor[J]. Journal of Pharmaceutical Practice and Service, 2025, 43(11): 567-571. doi: 10.12206/j.issn.2097-2024.202506021
  • 人粒细胞刺激因子(human granulocyte colony-stimulating factor,G-CSF)是调节骨髓粒系造血细胞增殖和分化的主要细胞因子之一,能诱导造血干细胞从骨髓向外周血动员,促进中性粒细胞生成和释放。G-CSF注射液是一种通过基因重组技术生产的生物制剂,主要成分为重组人粒细胞刺激因子(recombinant human G-CSF,rhG-CSF),临床用于各种原因导致的中性粒细胞减少。近年来,外周造血干细胞移植供者移植前常应用G-CSF注射液,动员干细胞从骨髓转移到外周血,增加造血细胞数量,提高移植的安全性[1]。随着G-CSF制剂的广泛应用,不良反应在临床中越发多见,常见的不良反应有肌肉酸痛、骨痛、食欲不振、发热、乏力、皮疹等,较严重的不良反应为间质性肺炎、成人呼吸窘迫综合征、幼稚细胞增加等,极少数出现弥漫性肺泡出血(diffuse alveolar hemorrhage,DAH)[2]。DAH可由多种因素诱发,临床进展迅速,重症患者病死率高。药物相关性肺泡出血往往被忽视,G-CSF作为导致DAH的少见病因,其发病机制与其他疾病不同,起病急、病情危重,临床医师和药师应提高警惕,对于临床上出现咯血、低氧血症、进行性贫血的患者应详细询问病史及用药史,早期诊断并及时治疗[3]。笔者通过分析1例健康供者移植前应用G-CSF注射液导致DAH的病例,以期提高临床对应用G-CSF注射液诱发DAH的风险意识,同时为该类患者的临床治疗和监护提供依据。

    • 患者39岁,男,身高170 cm,体重65 kg,身体质量指数22.5 kg/m2。既往体健,因其子患血液病,拟行造血干细胞移植,与其子HLA配型为亲缘单倍体相合,排除禁忌症。于2024年8月31日为捐献造血干细胞收入空军特色医学中心,否认肝炎、结核等传染病病史,否认高血压等慢性病史,否认药物、食物过敏史。

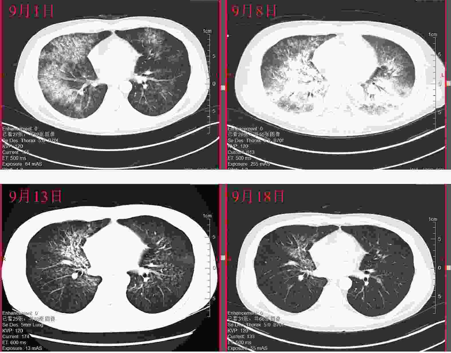
    • 患者入院前在门诊完成各项检查,血常规、尿常规、便常规、手术感染八项、凝血功能及肝肾功能正常,胸片无异常。8月31日9:00入院,血压、心率、体温正常,10:00和18:00给予G-CSF注射液300 μg皮下注射各1次,无其他合并用药。9月1日6:00给予G-CSF注射液300 μg皮下注射1次,患者诉咽部不适,有血丝咳出,7:47急查凝血六项,未见异常。9:30查体,血压100/65 mmHg,血氧饱和度94%,双肺呼吸音清,10:37急查胸部CT,两肺见弥漫分布片状密度增高影及磨玻璃影(图1),提示两肺渗出,排除呼吸道感染,咽喉鼻腔出血和肺栓塞,12:00综合患者咯血及肺部影像学表现,考虑有DAH,病情较重,停G-CSF注射液,停三级护理改一级护理,给予心电、血压、血氧饱和度监测,持续低流量吸氧,根据血氧饱和度调整,给予注射用甲泼尼龙80 mg q12 h,注射用奥美拉唑40 mg q12 h,维生素K1注射液10 mg q12 h。9月2日8:00,患者血氧饱和度低,在90%~94%之间波动,心率110次/min,血压正常,呼吸颦促(约40次/min),改为高流量吸氧;9:16急查床旁胸片,提示肺部炎症较昨日明显加重,给予注射用甲泼尼龙500 mg q12 h、静注人免疫球蛋白25 g冲击治疗,同时给予重组人凝血因子Ⅶa止血,给予注射用艾司奥美拉唑40 mg q12h预防应激性溃疡,更换常压高流量氧疗仪,后血氧饱和度维持在97%~98%,呼吸频率降至25次/min左右。9月3日9:00患者仍间断咯血,血红蛋白下降至98 g/L,血氧饱和度94%,床旁胸片提示左肺病灶较昨日略加重,继续500 mg甲泼尼龙冲击,加用矛头蝮蛇血凝酶加强止血,高流量给氧条件下加用面罩吸氧;20:00血压下降至87/50 mmHg,紧急输注红细胞后血压升至97/59 mmHg,21:00咯血加重,每间断约10 min就要吐出约20 ml鲜红色血液,继续输注红细胞、血浆400 ml;23:45给予全麻下床旁气管插管,呼吸机辅助呼吸,同时置入胃管,持续胃肠减压、吸痰治疗。胃管引流出鲜红色液体约50 ml,行床旁气管镜检查,镜下见左右主支气管内大量鲜红色血性液体涌出,给予镜下吸引并局部使用去甲肾上腺素稀释液止血,继续输血、止血治疗。9月4日,患者镇痛镇静持续俯卧位通气状态,经口气管插管持续呼吸机辅助呼吸,监护显示体温36 ℃,心率98次/min,血压111/75 mmHg,血氧饱和度91%,输注悬浮红细胞2 U、普通冰冻血浆400 ml,将激素减量至注射用甲泼尼龙120 mg q12 h,考虑血浆置换治疗。9月5日和9月6日给予床旁血浆置换。9月6日患者镇痛镇静持续俯卧位通气状态,经口气管插管持续呼吸机辅助呼吸,监护提示心率89次/min,血压146/60 mmHg,血氧饱和度96%,血浆置换后气道出血减少,血氧饱和度改善,病情好转,将激素减量至注射用甲泼尼龙80 mg q12 h,并限液利尿。9月7日行气管检查见左右主气管及各级支气管开口通畅,可见陈旧性血性分泌物及血栓附着,各分段支气管开口通畅,无新鲜出血。9月8日患者血氧饱和度明显改善,肺泡出血减少,充分评估后脱机拔管;复查胸部CT,两肺见弥漫分布片状密度增高影及磨玻璃高密度影(图1),提示双肺弥漫性肺出血。9月9日患者神志清楚,经鼻高流量氧疗,监护提示体温36 ℃,心率67次/min,血压124/82 mmHg,血氧饱和度97%,激素调整为注射用甲泼尼龙每天早80 mg、晚40 mg,继续吸氧、雾化、抗感染、辅助排痰等治疗。9月11日患者病情平稳,经鼻高流量氧疗,血氧饱和度99%,复查肺部CT继续好转,注射用甲泼尼龙减量为40 mg q12 h。9月13日复查胸部CT,两肺见片状密度增高影及磨玻璃密度影较前减少(图1),提示双肺出血较前减轻。9月14日患者不吸氧状态下血氧饱和度98%,未再诉咽颈部疼痛,注射用甲泼尼龙减量为20 mg q12 h。9月18日复查胸部CT,两肺渗出阴影较前明显减少(图1),提示双肺出血较前明显好转,停用静脉激素,予以醋酸泼尼松片25 mg qd序贯口服治疗。9月20日患者情况稳定出院。

    • DAH是由不同原因导致肺泡微血管损伤,肺微血管的血液进入肺泡,引起咯血、呼吸困难和贫血,影像表现双肺弥漫性浸润影,并可导致呼吸衰竭的致命性临床综合征[4]。患者8月31日入院后给予G-CSF注射液皮下注射,无合并用药,9月1日早晨发现咽部不适,咳血症状,血氧饱和度下降,9月1日胸部CT结果显示两肺渗出,排除咽喉鼻腔问题所致出血,考虑DAH,停用G-CSF注射液,给予对症治疗。患者既往无基础疾病,入院前血常规、肝肾功能等各项基础检查均正常,DAH发生于使用G-CSF注射液之后,G-CSF共使用3剂,每剂300 μg,累计剂量14 μg/kg,第一次给药20 h后患者出现症状,且在此期间未使用其他药物。因此,患者G-CSF的使用时间与DAH出现的时间存在时间先后关系。急查抗核抗体及抗核抗体谱、类风湿因子、补体C3及C4、抗中性粒细胞胞浆抗体、抗磷脂抗体、抗髓过氧化物酶等自身免疫相关指标,均未发现异常,可排除其他疾病引起DAH的可能性。查阅药品说明书和文献,G-CSF可引起肺毒性[5],国内亦有G-CSF导致DHA的相关报道[6]。按照国家药品不良反应(ADR)关联性评价判定原则[7],G-CSF的结果为“很可能”。另外,根据Naranjo评估量表[8]得分如下:该 ADR 先前有结论性报告(1分),该ADR 是在使用G-CSF后发生(2分),停药后ADR减轻(1分),排除引起该反应的其他原因(2分),存在ADR的客观证据(1分),总得分7分,故患者DAH与G-CSF“很可能相关”。

    • DAH的病因可分为自身免疫相关性和非自身免疫相关性两类,自身免疫系统性疾病包括抗中性粒细胞胞浆抗体(ANCA)相关性血管炎、抗肾小球基底膜病、IgA血管炎、系统性红斑狼疮、白塞病、混合性结缔组织病等,非自身免疫相关性原因包括感染、中毒、药物、化学物质、肺部放射治疗等[9]。尽管病因各异,但病理生理机制相似,即在疾病的发展过程中,由于多种因素刺激造成的免疫功能紊乱,炎症介质级联反应,氧化应激反应持续刺激肺血管内皮,导致肺泡毛细血管基底膜发生广泛损伤,终末细支气管远端的肺腺泡内广泛出血,充满了含铁血黄素的巨噬细胞在肺泡及肺间质内堆积[10]

      本例患者出现DAH后急查抗核抗体等自身免疫相关指标均无异常,可排除自身免疫性疾病,药物引起的可能性大。近年来,随着药物种类的增加,多种药物出现药源性DAH报道,如生物制剂度伐利尤单抗注射液[11]、靶向药物奥希替尼[12]、抗肺纤维化药物吡非尼酮[13]等。自身免疫反应和细胞因子风暴是引起药源性DAH的主要原因[14]。患者应用G-CSF注射液后中性粒细胞持续升高,9月2日炎症因子检验结果提示白介素(IL)-2、IL-6及IL-12p70均升高,G-CSF所致DAH的原因可能为粒细胞短时间内显著增多,肺泡里中性粒细胞大量聚集,巨噬细胞激活,释放的炎性物质抑制粒细胞正常凋亡,产生炎症风暴,导致肺毛细血管内皮损伤,通透性增加,肺泡毛细血管膜损伤。

    • DAH临床进展迅速,重症患者病死率高,缺少特异性诊断特征,对于临床上出现咯血、低氧血症、进行性贫血的患者应详细询问病史和用药史,尽早诊断,对症治疗[15]。一旦发生药源性DAH,首先要判断可疑药品并立即予以停用,然后评估临床症状、脏器受累情况,通过吸氧或机械通气等措施,尽可能维持呼吸状况稳定,在支持治疗基础上决定是否使用糖皮质激素、免疫抑制剂、血浆置换或生物制剂等治疗[16]

      糖皮质激素治疗是DAH治疗的重要手段,重症患者建议使用糖皮质激素冲击治疗,然而对激素用量及用药时间目前尚无定论。文献报道高剂量甲泼尼龙能改善 DAH患者的预后,经验性使用甲泼尼龙30 mg/(kg·d),连用3 d,控制急性出血,当肺泡出血缓解后再逐渐减量[17]。也有研究认为1 mg/(kg·d)可有效治疗 DAH,并减少激素相关性不良反应[18]。本例患者应用G-CSF注射液后即出现咯血及进行性加重的呼吸困难,开始给予糖皮质激素甲泼尼龙80 mg q12 h治疗,病情进展,血氧饱和度和血红蛋白继续下降,调整为甲泼尼龙500 mg q12 h冲击治疗,病情好转后,将激素减量至甲泼尼龙80 mg q12 h。因此,糖皮质激素用量需结合患者具体情况:急性DAH,症状快速进展,常应用大剂量激素冲击;慢性DAH,可应用1 mg/(kg·d)治疗。同时,需监测血红蛋白和血氧饱和度情况,评估治疗效果,及时调整激素用量。

      血浆置换也是治疗急性DAH的有效措施[19]。药源性DAH的原因可能为药物导致免疫或过敏反应,血浆置换可短期内改善免疫状态,减少免疫相关肺损伤,按照治疗方案,急性期的血浆置换推荐每天或间隔1~2 d进行[20]。本例G-CSF注射液引起的DAH与粒细胞刺激因子活化粒细胞导致损伤内皮细胞、肺通透性损伤相关,患者炎症因子指标高,在对症治疗基础上行2次床旁血浆置换,去除过度活化的炎性细胞和细胞因子,患者病情改善明显。

    • 大剂量糖皮质激素治疗可能引发短期或长期副作用,包括消化道损伤、免疫抑制、代谢紊乱等,需做好用药监护,减少激素相关不良反应的发生[21]。该患者给予G-CSF注射液后出现DAH,病情危重,血氧饱和度持续下降,应用甲泼尼龙500 mg冲击治疗,临床药师建议给予艾司奥美拉唑40 mg静脉泵入,预防消化道出血。甲泼尼龙冲击治疗后,患者仍频繁咯血,需监测血红蛋白,检测便潜血,警惕肺泡出血合并消化道出血。患者因咯血量较大,血红蛋白持续下降,最低时67 g/L,给予重组人凝血因子Ⅶa促进止血。临床药师提示重组人凝血因子输注需严格评估风险与收益,避免过度输注导致血栓等并发症,治疗过程中密切监测凝血指标和生命体征,根据病情调整治疗方案。

      高剂量甲泼尼龙应用2 d后,及时降低甲泼尼龙剂量至120 mg,患者症状改善后,将激素减量至甲泼尼龙80 mg q12 h,并根据患者床旁胸片和肺部CT检查结果,逐步降低激素剂量,9月18日停用静脉激素,改为泼尼松片25 mg qd序贯口服治疗,降低激素所致的不良反应。

      另外,患者病情危重,免疫力低,易合并肺部感染,在治疗期间需密切监测血常规、C反应蛋白、降钙素原等感染相关指标,如出现感染指标升高,应及时给予经验性抗感染治疗。

    • DAH是G-CSF罕见的严重不良反应,一般起病急、诊断困难、病情凶险,重症患者病死率高,早期诊断并给予积极治疗尤为重要。临床药师在日常工作中熟悉药物的不良反应和相互作用等信息,可协助医师尽快识别药物不良反应,及时对症治疗。在治疗过程中,临床药师密切关注患者用药情况,开展药学监护,可协助医师调整优化给药方案,为患者的合理安全用药保驾护航。

Reference (21)

Catalog

    /

    DownLoad:  Full-Size Img  PowerPoint
    Return
    Return