Message Board

Respected readers, authors and reviewers, you can add comments to this page on any questions about the contribution, review,        editing and publication of this journal. We will give you an answer as soon as possible. Thank you for your support!

Name
E-mail
Phone
Title
Content
Verification Code
Volume 46 Issue 3
Mar.  2026
Turn off MathJax
Article Contents

LIU Liangshan, BAO Zhiyao, SHI Liuhui, NIAN Hua, MA Minghua, WANG Zhenwei. Study on the potential mechanism of SMXBT in the treatment of AECOPD by network pharmacology and molecular docking[J]. Journal of Pharmaceutical Practice and Service, 2026, 44(3): 144-151. doi: 10.12206/j.issn.2097-2024.202311018
Citation: LIU Liangshan, BAO Zhiyao, SHI Liuhui, NIAN Hua, MA Minghua, WANG Zhenwei. Study on the potential mechanism of SMXBT in the treatment of AECOPD by network pharmacology and molecular docking[J]. Journal of Pharmaceutical Practice and Service, 2026, 44(3): 144-151. doi: 10.12206/j.issn.2097-2024.202311018

Study on the potential mechanism of SMXBT in the treatment of AECOPD by network pharmacology and molecular docking

doi: 10.12206/j.issn.2097-2024.202311018
  • Received Date: 2023-11-09
  • Accepted Date: 2025-09-17
  • Rev Recd Date: 2025-06-27
  • Available Online: 2026-03-20
  • Publish Date: 2026-03-25
  •   Objective  To explore the potential molecular mechanism of Sangma Xingbei Tang (SMXBT) in the treatment of acute exacerbation of chronic obstructive pulmonary disease (AECOPD).   Methods  TCMSP and TCMID databases were searched for the active ingredients of SMXBT, the targets of the active ingredients were predicted by SwissTargetPrediction database, and the AECOPD-related targets were searched by GeneCards and OMIM databases; the drug-active ingredient-target network and protein interaction network were constructed, and the GO enrichment and KEGG pathway enrichment were analyzed by the DAVID database. The drug-active ingredient-target network and protein interaction network were constructed, and the GO enrichment and KEGG pathway enrichment were analyzed by DAVID database, and molecular docking was performed by AutoDock Tools software. Animal experiments were conducted for validation.   Results  192 active ingredients were obtained and 1066 targets were predicted in SMXBT. Network analysis showed that the top 3 active ingredients in SMXBT were quercetin, kaempferol, and glycyrrhizin, and the top 3 therapeutic targets were TNF, ALB, and IL-1β, etc. The GO analysis and KEGG showed that the main pathways were the cancer pathway, the MAPK signaling pathway, and the PI3K-Akt signaling pathway. Molecular docking showed that the binding energies of glycyrrhizin and AKT1, IL-1β, GFR, SRC, and quercetin and kaempferol and IL-1β were all <−5 kcal·mol. Animal experiments showed that Sangma Xingbei Decoction could treat AECOPD by anti-inflammatory effects and reduce changes in lung tissue structure. Additionally, it could lower the serum inflammatory levels of TNF-α, IL-6, and IL-8.   Conclusion  SMXBT may act on the targets of AKT1, IL-1β, EGFR, SRC, etc., reduce the serum inflammation levels of TNF-α, IL-6, IL-8, and improve the lung tissue structure and inflammatory response to achieve the therapeutic effect on AECOPD through the modulation of the PI3K/Akt signaling pathway, the MAPK signaling pathway, the cancer pathway, and other pathways of action.
  • [1] GOLD SCIENCE COMMITTEE. Global strategy for the diagnosis, management, and prevention of chronic obstructive pulmonary disease(2023 report)(2022-11-15)[2023-11-09][EB/OL]. http://goldcopd.org/2023-gold-report-2/.
    [2] BAFADHEL M, MCKENNA S, TERRY S, et al. Acute exacerbations of chronic obstructive pulmonary disease: identification of biologic clusters and their biomarkers[J]. Am J Respir Crit Care Med, 2011, 184(6): 662-671. doi:  10.1164/rccm.201104-0597OC
    [3] 慢性阻塞性肺疾病急性加重诊治专家组. 慢性阻塞性肺疾病急性加重诊治中国专家共识(2023年修订版)[J]. 国际呼吸杂志, 2023, 43(2): 132-149. doi:  10.3760/cma.j.cn131368-20221123-01066
    [4] AARON S D. Management and prevention of exacerbations of COPD[J]. BMJ, 2014, 349: g5237. doi:  10.3109/9781420070873-35
    [5] 景王慧, 吴文进, 燕茹, 等. 归肺经中药桑白皮的化学、药理与药代动力学研究进展[J]. 世界中医药, 2014, 9(1): 109-112. doi:  10.3969/j.issn.1673-7202.2014.01.039
    [6] 李德顺, 李亚清. 定喘汤及其拆方治疗哮喘药理作用实验研究[J]. 天津中医学院学报, 2003(1): 16-18. doi:  10.3969/j.issn.1673-9043.2003.01.008
    [7] ZHANG J H, WU X H, ZHONG B Y, et al. Review on the diverse biological effects of glabridin[J]. Drug Des Devel Ther, 2023, 17: 15-37.
    [8] 张迪, 夏艺, 范丽, 刘士远, 管宇. 慢性阻塞性肺疾病大鼠模型的建立与评价[J]. 中国实验动物学报, 2020, 28(02): 230-235. doi:  10.3969/j.issn.1005-4847.2020.02.012
    [9] GALLI S J, BORREGAARD N, WYNN T A. Phenotypic and functional plasticity of cells of innate immunity: macrophages, mast cells and neutrophils[J]. Nat Immunol, 2011, 12(11): 1035-1044. doi:  10.1038/ni.2109
    [10] ZHAO H, MA Y T, ZHANG L F. Low-molecular-mass hyaluronan induces pulmonary inflammation by up-regulation of Mcl-1 to inhibit neutrophil apoptosis via PI3K/Akt1 pathway[J]. Immunology, 2018, 155(3): 387-395.
    [11] 陈玉文, 李诗琪, 黄小鹏, 等. 基于IL-6/STAT3、PI3K/Akt通路探讨汉黄芩素对LPS诱导的THP1巨噬细胞炎症模型的影响[J]. 中药材, 2022, 45(07): 1721-1725. doi:  10.13863/j.issn1001-4454.2022.07.035
    [12] 昝慧, 王昌高, 张东艳, 等. IL-8通过激活PI3K/AKT通路促进结肠癌细胞增殖、迁移和侵袭[J]. 现代免疫学, 2020, 40(02): 137-141.
    [13] 叶欣园, 沈燚, 鲍荣华, 等. 金天格含药血清调控PI3K/Akt通路抑制TNF-α刺激的成纤维样滑膜细胞功能的机制[J]. 中国中药杂志, 2025, 50(20): 5811-5819.
    [14] ZHANG Q, QIAN D, TANG D D, et al. Glabridin from Glycyrrhiza glabra possesses a therapeutic role against keloid via attenuating PI3K/Akt and transforming growth factor-β1/SMAD signaling pathways[J]. J Agric Food Chem, 2022, 70(35): 10782-10793. doi:  10.1021/acs.jafc.2c02045
    [15] SU L L, LI X D, WU X, et al. Simultaneous deactivation of FAK and Src improves the pathology of hypertrophic scar[J]. Sci Rep, 2016, 6: 26023. doi:  10.1038/srep26023
    [16] ROSKOSKI R Jr. Src protein-tyrosine kinase structure and regulation[J]. Biochem Biophys Res Commun, 2004, 324(4): 1155-1164.
    [17] TORRY D S, COOPER G M. Proto-oncogenes in development and cancer[J]. Am J Reprod Immunol, 1991, 25(3): 129-132.
    [18] WANG C, GAO H, DONG J, et al. Insight into the medicinal chemistry of EGFR and HER-2 inhibitors[J]. Curr Med Chem, 2014, 21(11): 1336-1350. doi:  10.2174/0929867320666131119124646
    [19] OHMORI T, YAMAOKA T, ANDO K, et al. Molecular and clinical features of EGFR-TKI-associated lung injury[J]. Int J Mol Sci, 2021, 22(2): 792. doi:  10.3390/ijms22020792
    [20] YI G, LIANG M, LI M, et al. A large lung gene expression study identifying IL-1β as a novel player in airway inflammation in COPD airway epithelial cells[J]. Inflamm Res, 2018, 67(6): 539-551. doi:  10.1007/s00011-018-1145-8
  • 加载中
通讯作者: 陈斌, bchen63@163.com
  • 1. 

    沈阳化工大学材料科学与工程学院 沈阳 110142

  1. 本站搜索
  2. 百度学术搜索
  3. 万方数据库搜索
  4. CNKI搜索

Figures(6)  / Tables(5)

Article Metrics

Article views(1605) PDF downloads(13) Cited by()

Related
Proportional views

Study on the potential mechanism of SMXBT in the treatment of AECOPD by network pharmacology and molecular docking

doi: 10.12206/j.issn.2097-2024.202311018

Abstract:   Objective  To explore the potential molecular mechanism of Sangma Xingbei Tang (SMXBT) in the treatment of acute exacerbation of chronic obstructive pulmonary disease (AECOPD).   Methods  TCMSP and TCMID databases were searched for the active ingredients of SMXBT, the targets of the active ingredients were predicted by SwissTargetPrediction database, and the AECOPD-related targets were searched by GeneCards and OMIM databases; the drug-active ingredient-target network and protein interaction network were constructed, and the GO enrichment and KEGG pathway enrichment were analyzed by the DAVID database. The drug-active ingredient-target network and protein interaction network were constructed, and the GO enrichment and KEGG pathway enrichment were analyzed by DAVID database, and molecular docking was performed by AutoDock Tools software. Animal experiments were conducted for validation.   Results  192 active ingredients were obtained and 1066 targets were predicted in SMXBT. Network analysis showed that the top 3 active ingredients in SMXBT were quercetin, kaempferol, and glycyrrhizin, and the top 3 therapeutic targets were TNF, ALB, and IL-1β, etc. The GO analysis and KEGG showed that the main pathways were the cancer pathway, the MAPK signaling pathway, and the PI3K-Akt signaling pathway. Molecular docking showed that the binding energies of glycyrrhizin and AKT1, IL-1β, GFR, SRC, and quercetin and kaempferol and IL-1β were all <−5 kcal·mol. Animal experiments showed that Sangma Xingbei Decoction could treat AECOPD by anti-inflammatory effects and reduce changes in lung tissue structure. Additionally, it could lower the serum inflammatory levels of TNF-α, IL-6, and IL-8.   Conclusion  SMXBT may act on the targets of AKT1, IL-1β, EGFR, SRC, etc., reduce the serum inflammation levels of TNF-α, IL-6, IL-8, and improve the lung tissue structure and inflammatory response to achieve the therapeutic effect on AECOPD through the modulation of the PI3K/Akt signaling pathway, the MAPK signaling pathway, the cancer pathway, and other pathways of action.

LIU Liangshan, BAO Zhiyao, SHI Liuhui, NIAN Hua, MA Minghua, WANG Zhenwei. Study on the potential mechanism of SMXBT in the treatment of AECOPD by network pharmacology and molecular docking[J]. Journal of Pharmaceutical Practice and Service, 2026, 44(3): 144-151. doi: 10.12206/j.issn.2097-2024.202311018
Citation: LIU Liangshan, BAO Zhiyao, SHI Liuhui, NIAN Hua, MA Minghua, WANG Zhenwei. Study on the potential mechanism of SMXBT in the treatment of AECOPD by network pharmacology and molecular docking[J]. Journal of Pharmaceutical Practice and Service, 2026, 44(3): 144-151. doi: 10.12206/j.issn.2097-2024.202311018
  • 慢性阻塞性肺疾病急性加重期(acute exacerbation of chronic obstructive pulmonarydisease,AECOPD)是一种急性事件,慢性阻塞性肺疾病(COPD,简称“慢阻肺”)患者呼吸困难和(或)咳嗽、咳痰症状加重,症状恶化发生在14 d内,可能伴有呼吸急促和(或)心动过速,通常是因为呼吸道感染、空气污染造成局部或全身炎症反应加重,或者因损伤气道的其他原因所致[1]。近年来,嗜酸粒细胞对AECOPD的影响受到关注[2]。由于慢阻肺的高异质性,目前尚缺乏AECOPD特定的生物标志物[3]。针对AECOPD的特异性药物治疗没有取得实质性进展,仍集中在抗菌药、支气管舒张剂和糖皮质激素等[4]。桑麻杏贝汤是江南何氏第29世传人何新慧教授的临床常用方,它由桑白皮、麻黄、杏仁、浙贝母、黄芩、黄连、厚朴、川芎、紫菀、款冬、生甘草等11味药组成,具有清肺降气、祛湿化痰之效。现代药理学研究表明[5-6],方中所用诸药具有化痰、平喘、抗炎、清除自由基、增强体液免疫、改善微循环等多种功效。可从桑麻杏贝汤中提取到光甘草定,研究表明,光甘草定的抗炎和抗癌活性可能与抑制核因子κB(nuclear factor-kappa B,NF-κB)和丝裂原活化蛋白激酶(mitogen-activated protein kinase,MAPK)信号通路有关[7]。AECOPD多伴有全身炎症反应加重,因此研究者认为,桑麻杏贝汤治疗AECOPD可能具有一定效果。本研究运用网络药理学、分子对接技术结合动物实验,探讨并验证桑麻杏贝汤治疗AECOPD的潜在靶点和相关信号通路。

    • 本研究利用中药系统药理学数据库与分析平台(TCMSP,https://tcmsp-e.com/tcmsp.php),以麻黄、杏仁、浙贝母、紫菀、款冬、厚朴、川芎、甘草、黄芩、前胡为关键词检索药物成分,设置口服生物利用度(OB)≥30%、药物类药性(DL)≥0.18,其他参数为默认值,进行药物成分筛选;TCMID数据库[TCM-ID(bidd.group)]补充了桑白皮的药物成分。最终获取桑麻杏贝汤的活性成分,并通过PubChem数据库(https://pubchem.ncbi.nlm.nih.gov/)获取活性成分SMILE号。PubChem数据库汇总未能检索的活性成分,通过TCMSP平台下载相关活性成分的mol2文件,在novopro平台(https://novopro.cn/tools/mol2smiles.html)将mol2文件转换为SMILE号。将活性成分的SMILE号导入SwissADME数据库(http://www.swissadme.ch/)进行筛选后,导入SwissTargetPrediction数据库(http://www.swisstargetprediction.ch/)中获取各个化学成分的预测作用靶点,物种参数设置为Homosapiens,置信度阈值Probability>0。

    • 以“Acute exacerbation of chronic obstructive pulmonary disease”为检索词,种属选择“Homo sapiens”,从OMIM(https://www.omim.org/)与GeneCards(https://www.genecards.org/)2个数据库中检索AECOPD的相关靶点。

    • 将桑麻杏贝汤活性成分的预测靶点与AECOPD相关靶点通过JVEEN(http://www.bioinformatics.com.cn/static/others/jvenn/example.html)进行映射,获得桑麻杏贝汤治疗AECOPD的潜在靶点。利用Cytoscape 3.8.2软件构建桑麻杏贝汤的潜在靶点网络。利用String平台(https://cn.string-db.org)构建桑麻杏贝汤治疗AECOPD的蛋白相互作用网络。再利用Cytoscape软件的“Centiscape 2.2”插件对PPI网络进行拓扑分析,根据度值(degree)、介数值(betweenness)、接近中心性(closeness)筛选出该网络的关键靶点,按介数值进行排序,得出前10位靶点为核心靶点,并通过Cytoscape 3.8.2进行可视化分析。

    • 将“1.3”项下得到的桑麻杏贝汤-AECOPD关键靶点的137个基因导入DAVID数据库(https://david.ncifcrf.gov/),基因列表中,选择“OFFICIAL-GENE-SYMBOL”,选定物种为“Homo sapiens”,进行GO功能及KEGG通路富集分析,设置P<0.05,根据基因比率值进行降序,得到桑麻杏贝汤有效化合物作用靶点的主要生物过程(BP)、细胞组分(CC)、分子功能(MF),以及其与AECOPD密切相关的通路,利用微生信(https://www.bioinformatics.com.cn/plot_basic_gopathway_enrichment_bubbleplot_081)制作富集气泡图,进行可视化分析。

    • 将核心药物成分与主要靶点进行分子对接验证。从TCMSP数据库查询核心药物成分,并保存为mol2格式。从PDB数据库下载核心靶点的3D结构,保存为PDB格式,使用PyMol 2.3.0软件去除蛋白结构的水分子和小分子配体,导入AutoDockTools1.4.3软件进行加氢等预处理。将活性成分和靶点蛋白均转换成pdbqt格式文件,运行AutoDockTools1.4.3,对活性成分和靶点蛋白分别进行对接。最后使用PyMol2.3.0进行可视化。

    • 选购SPF级SD大鼠38只(上海斯莱克实验动物有限公司),雌雄各半,雌鼠体重(255±19)g,雄鼠体重(337±28)g。置于上海纪宁实业有限公司SPF级实验动物中心常规饲养。

    • 本实验中采用何新慧教授的经验方−桑麻杏贝汤(浙贝母∶蜜紫菀∶炙款冬花∶川芎∶杏仁∶制厚朴∶炙麻黄∶黄芩∶桑白皮∶前胡∶生甘草=9∶15∶15∶10∶9∶10∶6∶15∶15∶10∶6)。各药物经生药鉴定,由上海中医药大学附属岳阳中西医结合医院中药房提供,通过水煎煮、过滤制成。大鼠用药量通过公式D1∶D2=R1∶R2(D:剂量,R:体表面积)估算,约为每天1.8 g生药/ml药液,该剂量相当于成人正常临床日服量的6倍。石蜡(批号:69018961)、甲醛(批号:10010018)、二甲苯(批号:10023418)、无水乙醇(批号:10092680)、氨水(批号:10002118)均购自上海国药集团。苏木素(批号714094)、伊红(批号:BA4099)购自BASO公司。中性树脂(批号:G8590),购自北京索莱宝公司。IL-6、IL-8、TNF-α酶联免疫吸附测定试剂盒,均购自上海纪宁实业有限公司。香烟,散花牌,购自河南中烟工业有限公司。

    • ECLIPSENi正置显微镜、DS-Ri2显微图像分析系统(NIKON公司),P2、P10、P20、P100、P200、P1000移液器(吉尔森P型移液器公司),DHG-9023A恒温烘箱(上海恒一科学仪器有限公司),SQ2125石蜡切片机、PPTHK-21B摊片机(徕克公司),16#灌胃针(中科生命),H1850R离心机(湘仪集团)。

    • 将38只SPF级SD大鼠先进行1周的适应性饲养,后将大鼠按雌/雄随机分为对照组(12只)和造模组(26只)。其中,造模组有1只雄鼠和1只雌鼠于造模过程中死亡,故最终对照组、模型组、治疗组大鼠均为12只,雌雄各半。用烟熏法构建大鼠AECOPD模型[8]。对照组:正常饲养,无任何干预措施。模型组:按照烟熏法造模,模拟AECOPD患者群,无其他干预措施。治疗组:按照烟熏法造模,模拟烟熏后AECOPD患者群,造模完成后,以桑麻杏贝汤灌胃,每日1次,连续14 d,实验前后观察大鼠活动。

      对实验动物肺组织进行切割后,将病理切片固定于福尔马林(浓度为10%)中,时长为48 h,接着按序行常规乙醇梯度脱水、透明、浸蜡、包埋、切片及HE染色等操作,最后在显微镜下观察大鼠肺组织的病理改变并拍照存档。取大鼠腹主动脉的血液置于血清分离管中,经静置、离心等操作,获得上清液。未使用的上清液低温保存,若出现上清液融化则不再使用,并进行相应处理。主要测定大鼠血清中TNF-α、IL-6、IL-8的浓度。

    • 实验数据采用SPSS26.0软件进行处理,首先对数据进行正态分布检验与方差齐性检验,若满足正态分布与方差齐性,则使用单因素方差分析检验3组指标是否具有统计学意义,用图基法与邓尼特法进行组间比较。若不满足方差齐性或正态分布,则采用非参数检验,曼−惠特尼U检验进行组间比较。以P<0.05为差异有统计学意义。

    • 桑麻杏贝汤在TCMSP平台以OB≥30%,DL≥0.18,作为筛选条件,再结合TCMID数据库,桑白皮15个,杏仁10个,浙贝母4个,紫菀12个,川芎4个,甘草85个,厚朴2个,黄芩29个,款冬16个,麻黄16个,前胡18个,在SwissADME数据库中进行Pharmacokinetics与Druglikeness筛选后,共得到桑麻杏贝汤活性成分192个,通过SwissTargetPrediction数据库预测相应作用靶点,删去重复值共得到1 066个作用靶点。通过Cytoscape 3.8.2软件将活性成分-靶点进行可视化,得到“药物-活性成分-靶点”相互作用网络。该网络共有1 253个节点,15 304条边。度值越高,作用关系越密切,作用越明显。按度值排序,得出排名前5位的成份为:槲皮素(quercetin,J1),山柰酚(kaempferol,F1),光甘草定(glabridin,A4),异鼠李素(isorhamnetin,A6),木樨草素(luteolin,A7)。详见图1表1

      序号编号MOl-ID化合物所属中药介数值接近中心性度值
      1J1MOL000098槲皮素甘草、款冬、麻黄、紫菀、前胡0.0031960.371734515
      2F1MOL000422山柰酚甘草、款冬、麻黄、紫菀0.0030070.371513414
      3A4MOL004908光甘草定甘草、杏仁0.0111720.372397217
      4A6MOL000354异鼠李素甘草、紫菀0.0026830.371073206
      5A7MOL000006木樨草素麻黄、紫菀0.0028730.370853206
      注:Mol-ID:TCMSP中的分子编号。
    • 以“Acute exacerbation of chronic obstructive pulmonary disease”为检索词从OMIM、GeneCards(score>45.77)2个数据库,分别得到491、485个疾病靶点,删去重复值后,共得到945个AECOPD相关靶点。

    • 将1 066个桑麻杏贝汤活性成分作用靶点与945个AECOPD相关靶点进行映射,得到137个共同靶点,绘制VEEN图,这些靶点被认为是桑麻杏贝汤治疗AECOPD的潜在靶点(图2)。

    • 将137个作用靶点导入STRING,构建PPI网络。利用Centiscape 2.2软件分析,根据介数中心性(Bet)>108.482,紧密中心性(Clo)>0.004,度中心性(Deg)>76.905,筛选出关键靶点36个。利用Cytoscape 3.8.2进行可视化分析。面积越大、颜色越亮,代表介数值越高,而该值越高,该靶点与其他靶点的相关性越明显,在网络中越重要。经分析得出,排名前10位的靶点为:TNF、ALB、IL-1β、AKT1、SRC、EGFR、APP、NFKB1、ESR1、TP53,这10个蛋白在网络中与作用靶点关联密切,与其他靶点的相关性明显,在整个调节网络中起到枢纽作用,可能是桑麻杏贝汤治疗AECOPD的核心靶点。详见图3表2

      序号 靶基因 介数中心性 接近中心性 度值
      1 TNF 904.24 0.0059 210
      2 ALB 832.62 0.0057 196
      3 IL-1β 603.06 0.0056 186
      4 AKT1 593.25 0.0057 198
      5 SRC 586.63 0.0053 172
      6 EGFR 586.26 0.0055 184
      7 APP 541.87 0.0049 136
      8 NFKB1 500.23 0.0052 164
      9 ESR1 444.12 0.0051 160
      10 TP53 443.89 0.0055 182
      注:TNF:肿瘤坏死因子;ALB:白蛋白;IL-1β:白细胞介素;AKT1:丝氨酸/苏氨酸蛋白激酶 1;SRC:酪氨酸专一性蛋白激酶;EGFR:表皮生长因子受体;APP:人类基因名;NFκB1:核因子活化B细胞κ轻链增强子1;ESR1:雌激素受体 1;TP53:抑癌基因。
    • 通过David平台对36个核心靶点进行GO富集分析与KEGG通路分析。GO富集分析包括生物过程、细胞组分和分子功能,结果显示,共有602个生物过程、86个细胞组分、111个分子功能显示富集。据P值<0.05进行筛选后排序,选择前10位的结果。GO富集分析主要涉及在信号传导、负向调控凋亡过程、RNA聚合酶Ⅱ启动子的转录正调控、基因表达的正向调控等生物过程,细胞膜、细胞质、细胞核、细胞质基质等细胞组分,蛋白结合、相同蛋白结合、ATP结合、金属离子结合等分子功能,用Bioinformatics(https://www.bioinformatics.com.cn/)制作富集气泡图。通过David平台对36个核心靶点进行KEGG通路分析,共富集到149条信号通路,选择KEGG通路富集分析中与AECOPD密切相关的前10条,用Bioinformatics(https://www.bioinformatics.com.cn/)制作富集气泡图。通路主要是癌症通路、MAPK信号通路、PI3K-Akt信号通路。详见表3图4

      信号通路名称 位于该信号通路
      的基因数/
      136(%)
      P 位于该信号通路的基因数
      癌症通路 41.18 <0.01 56
      MAPK 信号通路 23.53 <0.01 32
      PI3K-Akt 信号通路 22.06 <0.01 30
      卡波西肉瘤相关的疱疹病毒感染 21.32 <0.01 29
      脂质和动脉粥样硬化 20.59 <0.01 28
      乙肝 19.85 <0.01 27
      癌症中的小分子 19.12 <0.01 26
      AGE-RAGE 信号通路在糖尿病并发症中的作用 18.38 <0.01 25
      蛋白多糖在癌症中的作用 18.38 <0.01 25
      化学致癌作用-
      受体激活
      18.38 <0.01 25
    • 将“2.4”中筛选得到部分核心靶点(TNF、AKT1、ALB、IL-1β、EGFR、TP53、SRC)与“2.1”中筛选得到的部分核心成分(J1槲皮素、F1山柰酚、A4光甘草定)进行分子对接。一般认为结合能<0表明配体分子可以与受体分子自发结合,结合能<−5 kcal·mol则表示具有较好的结合能力。据此得到6组有较好结合能力的结果,具体见表4图5。以上结果证明,桑麻杏贝汤主要成分可对核心靶点发挥调控作用。

      图片编号靶点蛋白主要成分结合所需能量(kcal·mol)
      图5AAKT1光甘草定−5.06
      图5BIL-1β槲皮素−6.51
      图5CIL-1β山柰酚−5.22
      图5DIL-1β光甘草定−6.98
      图5EEGFR光甘草定−5.08
      图5FSRC光甘草定−5.18
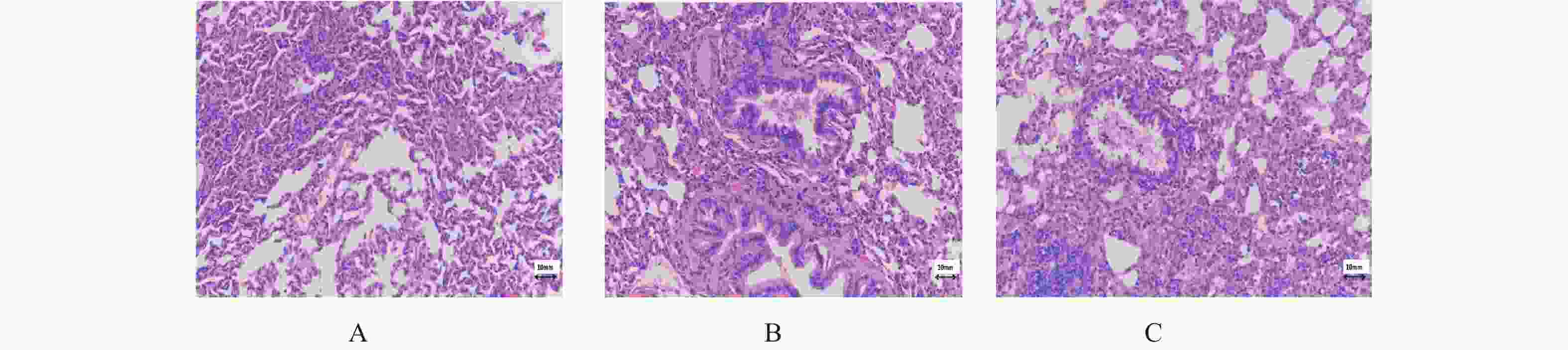
    • 对照组大鼠肺组织显示正常的组织结构,没有明显的炎症细胞浸润或组织损伤。模型组细胞排列无序,存在大量的炎症细胞,组织结构遭到严重破坏。治疗组显示炎症反应减轻,炎症细胞数量减少,组织结构得到一定恢复。与模型组相比,治疗组的组织损伤有所减轻,反映出桑麻杏贝汤的治疗效果。详见图6。桑麻杏贝汤在治疗AECOPD方面显示出积极的效果,能够减轻炎症反应,改善组织结构,可能通过抑制成纤维化,缓解气道重塑,提高肺功能。

    • 通过分析得出,本实验数据满足正态分布与方差齐性,故采用单因素方差分析检验3组指标是否具有统计学意义,用图基法与邓尼特法进行组间比较。结果表明模型组中TNF-α、IL-6、IL-8水平皆明显高于对照组,具有显著的统计学意义(P<0.01)。治疗组中TNF-α、IL-6、IL-8水平显著低于模型组,但仍高于对照组,具有显著的统计学意义(P<0.01)。表明桑麻杏贝汤确实可以降低AECOPD患者血清中的炎症水平。具体见表5

      组别 大鼠数量
      n
      TNF-α
      (pg/ml)
      IL-6
      (pg/ml)
      IL-8
      (pg/ml)
      对照组 12 51.81±19.14 33.24±8.16 17.22±3.92
      模型组 12 190.46±60.66** 101.21±19.13** 41.36±8.61**
      治疗组 12 93.85±13.94## 63.70±13.97## 26.63±7.31##
      **P<0.01,与对照组比较;##P<0.01,与模型组比较。
    • AECOPD通常是因为呼吸道感染、空气污染造成局部或全身炎症反应加重,或者因损伤气道的其他原因所致[1]。慢阻肺在中医学中多以肺胀治之,由于多种慢性肺系疾病反复发作,未曾有效治疗,而导致肺气胀满,失于宣肃。AECOPD以肺胀的痰热壅肺证居多,研究者亦是以痰热壅肺展开讨论。肺胀在中医内科学中,多用清肺化痰、降逆平喘之法,以桑白皮汤治之。桑麻杏贝汤治疗AECOPD与之有相似之处,但在桑白皮汤的基础上增强了祛湿与止咳之效。桑麻杏贝汤由桑白皮、杏仁、浙贝母、紫菀、川芎、甘草、厚朴、黄芩、款冬、麻黄、前胡11种药物组成。经网络药理学分析,排名前5的成分为:槲皮素(J1,为甘草、款冬、麻黄、紫菀、前胡5种药物共有);山柰酚(F1,为甘草、款冬、麻黄、紫菀4种药物共有);光甘草定(A4,为甘草、杏仁共有),异鼠李素(A6,为甘草、紫菀共有),木樨草素(A7,为麻黄、紫菀共有)。桑麻杏贝汤治疗AECOPD主要通过癌症通路、MAPK信号通路、PI3K-Akt信号通路。通过核心成分(槲皮素、山柰酚、光甘草定)作用于核心靶点(AKT1、IL-1β、EGFR、SRC)产生治疗作用。

      AKT1是一种丝氨酸/苏氨酸激酶的亚型。Galli等[9]认为中性粒细胞经历细胞凋亡,对于清除致病因素和炎症消退至关重要,而激活AKT1能够将中性粒细胞从细胞凋亡转变为NETosis,是中性粒细胞中一种独特类型的细胞死亡的表现,从而增强炎症,造成组织损伤和肺功能下降。低分子量透明质酸(LMMHA)激活PI3K/Akt1途径,上调抗凋亡蛋白Mcl-1的表达并抑制半胱天冬酶-3的活化,从而抑制中性粒细胞凋亡引发的肺部炎症[10]。分子对接结果显示,光甘草定可以作用于AKT1靶点,推测光甘草定可能具有与LMMHA相似的效果,激活PI3K/Akt通路,因此也可能对治疗AECOPD产生效果。有研究发现TNF-α、IL-6、IL-8与PI3K/Akt通路密切相关,可减低炎症反应[11]、抗肿瘤[12]、抑制细胞成纤维化[13]。动物实验已经证实,桑麻杏贝汤可以降低TNF-α、IL-6、IL-8水平,故桑麻杏贝汤可能通过抑制PI3K/Akt通路,抑制炎症,从而治疗AECOPD。

      光甘草定是甘草疏水部分中的主要类黄酮之一,光甘草定减少了人瘢痕疙瘩成纤维细胞中胶原蛋白的产生,并通过减弱PI3K/Akt和TGFβ1/SMAD途径的表达对瘢痕疙瘩起治疗作用[14]。黏着斑激酶和SRC均可在培养的正常皮肤来源成纤维细胞中的TGF-β1刺激下被激活[15]。因此光甘草定可能通过减弱TGFβ1途径,减少对SRC的激活。SRC和SRC家族蛋白激酶是在细胞形态、运动、增殖和存活中起关键作用的原癌基因[16]。原癌基因如果发生突变,具有诱导肿瘤转化的潜力,转化为癌基因的过程称为激活[17]。故得出光甘草定可能减少SRC的激活降低原癌症基因的突变,通过癌症通路产生疗效。人表皮生长因子受体(EGFR/HER)酪氨酸激酶的过度表达与肿瘤的病因、进展和不良预后相关,人类癌症中也经常观察到它们被激活[18],研究认为EGFR是癌症治疗中一个有希望的靶标[19]。光甘草定的抗炎和抗癌活性可能与抑制NF-κB和MAPK信号通路有关[7]。研究发现IL-1β在COPD小气道上皮细胞中显著上调,并提出IL-1β是COPD气道炎症的新参与者[20]。在分子对接过程中,光甘草定、槲皮素、山柰酚3种成分均与IL-1β有较好的结合度,因此,研究者认为IL-1β可作为治疗AECOPD的可能靶点。根据大鼠病理实验验证,桑麻杏贝汤可通过抑制气道炎症对AECOPD起到治疗作用。

      综上所述,本研究表明桑麻杏贝汤可能作用于AKT1、IL-1β、EGFR、SRC等靶点,能一定程度上减缓炎症、抑制癌症,并对肺部的纤维细胞具有一定的治疗作用。通过实验验证,发现桑麻杏贝汤可通过抗炎、改善肺组织的结构治疗AECOPD,可以降低TNF-α、IL-6、IL-8血清炎症水平,其机制可能与抑制PI3K/Akt和MAPK信号通路有关。

Reference (20)

Catalog

    /

    DownLoad:  Full-Size Img  PowerPoint
    Return
    Return